全瓷冠貼片
全瓷冠/陶瓷貼片推薦卓品牙醫集團|歡迎諮詢全瓷冠/陶瓷貼片價格

卓品牙醫集團深知現代人相當注重自己的外在形象,為了讓追求「美」的患者擁有一口潔白美麗的牙齒,卓品牙醫集團特別提供高品質的陶瓷貼片及全瓷冠療程,牙醫師不僅會與患者進行完善的雙向溝通,也會與牙技師相互配合,依照患者的臉型、年齡、口腔狀況等條件,量身打造美學與功能兼具的陶瓷貼片及全瓷冠,可以改善輕度齒列不整、改善過大牙縫,達到牙齒微整形的效果,讓患者能隨時展現迷人的自信笑容。同時以嚴謹的黏著程序及耐用的高強度黏著劑來固定陶瓷貼片及全瓷冠, 提升瓷牙貼片使用壽命,讓您無後顧之憂,獲得自信美麗的牙齒。
以下讓卓品牙醫集團為您講解全瓷冠與陶瓷貼片的價格與詳細資訊,包含兩者差異、瓷牙貼片的費用、壽命、優缺點等,讓您全面了解卓品牙醫集團的全瓷冠和陶瓷貼片服務!
什麼是符合美學的「微笑曲線」?
一般來說,前牙美觀區的牙齒可分成三類:正中門牙、側門牙與犬齒。「正中門牙」與「側門牙」的牙齒形狀分為方形、方偏橢圓形與橢圓形;「犬齒」的牙齒形狀則分為方形、橢圓形與尖銳形。人們開口說話、露出笑容時,露出的牙齒顏色、長度、型態及牙齦的比例等,都是影響臉部美觀的因素。
因此卓品牙醫集團的牙醫師會幫患者設計「專屬微笑曲線」,讓患者笑起來的嘴形呈半月形,當上排牙齒下緣與下唇上緣一致、上排牙齦連線與上唇下緣平行,就是公認的牙齒笑線標準。

什麼是全瓷冠?什麼是陶瓷貼片?
「全瓷冠」又稱為全瓷牙冠、全瓷冠假牙,是由「全陶瓷材質」製作而成的牙冠。專業醫師會細微修磨患者的牙齒,並使用數位掃描儀器將牙齒模型資料數位化,再經由高科技儀器研磨、高溫燒製瓷塊,即完成全瓷冠製作,提供根管治療後、牙齒外觀缺損、蛀牙補牙範圍過大等等的病患,恢復與原生牙齒相近的假牙!
「陶瓷貼片」也稱為瓷牙貼片、全瓷貼片、美白陶瓷貼片等,是由「陶瓷瓷塊」製成的超薄貼片(僅約0.3mm至0.5mm薄) ,若有燒瓷層或遮色需求,瓷牙貼片的厚度則約1~1.5mm。在進行陶瓷貼片療程時,專業醫師會先將靠近唇側的牙齒表面輕微磨掉一層,再利用酸蝕黏合技術,將瓷牙貼片黏著固定在牙齒表面,完成牙齒修復及美白,下方可了解瓷牙貼片價格、瓷牙貼片壽命、陶瓷貼片缺點等更詳細的資訊。
全瓷冠與陶瓷貼片的共同材質
二氧化鋯(屬於人造陶瓷)
在在醫學上,二氧化鋯最早用於人工膝關節,因為二氧化鋯具有優異的生物相容性和高強度(900~1200MPa),故又稱為「瓷鋼」(ceramic steel),其良好特性也被應用於口腔醫學上,成為新一代的全陶瓷牙冠材料,是一種兼具美觀、強度和生物相容性的理想材質。
二矽酸鋰(屬於玻璃陶瓷)
由於二矽酸鋰的強度(300~400MTa)略低於二氧化鋯,因此大多用於前牙美觀區。二矽酸鋰又可分為透光與不透光的形式,故能仿製出猶如真牙的外型和色澤。通常這類陶瓷經酸蝕處理後,可與牙釉質緊密貼合,相當適合用以製作陶瓷貼片或微創齒雕。
全瓷冠與陶瓷貼片的適用對象

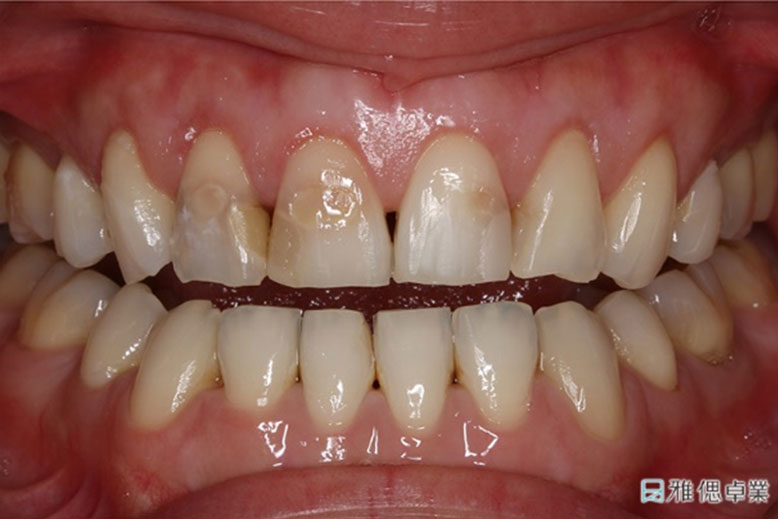
- 重度四環素染色
- 先天齒質發育不良,如脫鈣
- 前牙蛀牙,不理想的贋復物補牙樹脂邊緣染色
- 牙齒外觀缺損,如:跌倒外傷斷裂、缺角
- 牙齒形狀不美觀,如:長寬不對稱、牙齒比例過小(錐形牙、釘狀齒)
- 輕微凌亂、不整齊、輕度暴牙
- 牙齒間隙過大,想縮小牙縫但不想花時間做牙齒矯正
- 天生齒色黃,冷光/噴砂美白後仍不滿意者
- 微笑曲線重建



假牙材質比一比:全瓷冠、陶瓷貼片、金屬牙冠
全瓷冠
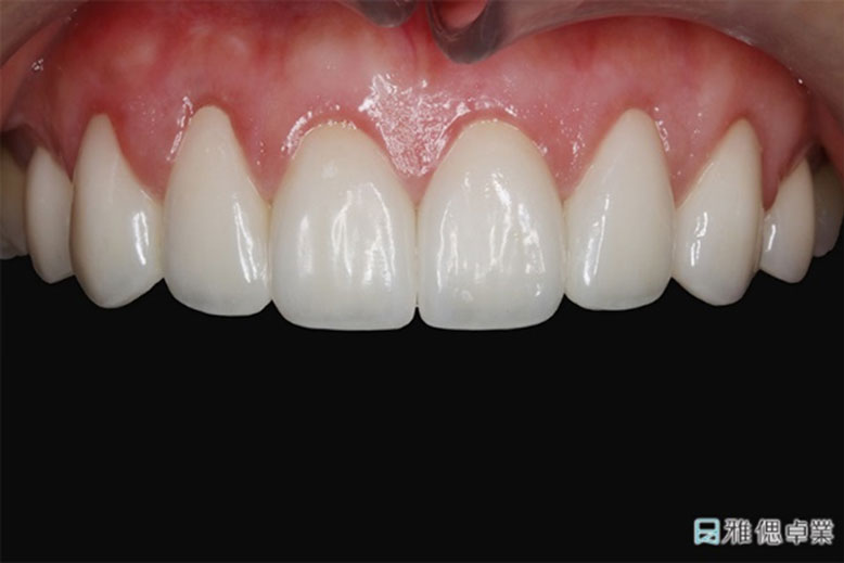
全瓷冠無金屬成分,不僅外觀猶如真牙,且生物相容性高,能加固受損牙齒、恢復患者的咀嚼功能。
陶瓷貼片
不僅可改善牙齒的外觀(形狀、排列長度、顏色),且具有自然牙的色澤質感。
金屬牙冠
其透光性、美觀自然特性及生物相容性皆較差。
全瓷冠與陶瓷貼片的共同缺點
- 專業醫師需磨掉患者的部分琺瑯質。
- 當全瓷冠或陶瓷貼片的邊緣不夠密合時,患者可能會對冷、熱產生敏感酸軟、脫落等問題。
- 全瓷冠與陶瓷貼片黏著完成後,便無法再做修改。
- 若患者有磨牙習慣,陶瓷貼片就會較容易脫落,因此患者需配戴透明維持器或夜間咬合板來保護陶瓷貼片。
不論是傳統金屬牙冠、全瓷冠、陶瓷貼片皆有各自的優缺點,雖然全瓷冠與瓷牙貼片是近年相當受歡迎的療程,但仍需經由醫師的專業評估後,才能規劃合適的治療方案,而專業醫師也會讓患者清楚了解金屬牙冠、全瓷冠、陶瓷貼片缺點,讓每一位患者皆能安心進行療程。
全瓷冠、瓷牙貼片壽命
全瓷冠和瓷牙貼片的壽命一般為5-15年,而日常口腔衛生維持、牙齒使用習慣及個人口腔狀況都會影響全瓷冠和瓷牙貼片的壽命。因此療程結束後,需聽從牙醫師指示,養成良好的口腔衛生習慣、避免咬過硬的食物,並減少會使牙齒受損的動作,才能延長全瓷冠及瓷牙貼片的壽命。
全瓷冠與陶瓷貼片的價格考量
全瓷冠、陶瓷貼片價格是以「單顆計價」,目前台北地區全瓷冠與陶瓷貼片價格約25000~40000元上下。
- 全瓷冠、陶瓷貼片的等級:不同等級的瓷牙貼片價格有所落差,包括瓷塊品牌、材質與技師染色技術等。
- 患者的牙齒狀況與整體療程:專業醫師會根據患者的牙齒狀況,規劃合適的瓷牙貼片計畫,依照整體療程、牙醫師/牙技師的技術與設備,而有不同的全瓷冠、瓷牙貼片價格。
全瓷冠、陶瓷貼片療程步驟
STEP1 術前療程
包合洗牙、噴砂美白或冷光美白、齲牙補綴塑形、齒列調整(矯正)及收集口內外照、診斷模型、口腔掃描影像檔案。


STEP2 術前模擬
模型蠟型模擬、數位模擬、數位微笑設計和模擬上色。


STEP3 術中療程
修磨牙齒、取得模型、卓品牙醫集團專屬技師比色及製作、臨時假牙/貼片製作。


STEP4 口内試戴
現場調整、黏著前處理、齒面清潔、正式裝戴與高強度黏著固定。


STEP5 術後追蹤
咬合細節調整、完成照、給予清潔照護注意事項衛教。


以上療程步驟,每一步皆至關重要,卓品牙醫集團的專科醫師與牙技師皆在牙科美學的尖端領域,用心為患者把關全瓷冠、陶瓷貼片的品質,並以豐富的經驗及專精的技術,為您打造嶄新笑容。
使用全瓷冠、貼片的注意事項
- 牙科醫師:選擇經驗豐富的專業牙醫師,能確保全瓷冠、陶瓷貼片的安全性和合適性。
- 適應期間:全瓷冠或陶瓷貼片安裝完成後,避免過於刺激牙齒,例如避免過熱或極冷的飲食。
- 口腔衛生:保持良好的口腔衛生習慣,可以減少周圍的細菌滋生,如每日刷牙、使用牙線及漱口水。
- 牙齒狀況:牙齒蛀蝕、根尖感染或牙周病等,可能會對全瓷冠及瓷牙貼片的壽命產生負面影響。
- 日常使用:避免咬硬物、磕碰或不正常的使用方式,可減少全瓷冠及陶瓷貼片的損壞風險。
- 咬合力:若患者有咬合力過大或不均勻的問題,可透過咬合調整或配戴夜間咬合板來均勻分散咬合力。
- 定期維護:患者需定期回診修復全瓷冠或陶瓷貼片,確保牙齒保持在良好狀態。
卓品牙醫集團建議您定期接受牙齒檢查,讓牙醫師評估您的全瓷冠和陶瓷貼片狀況。若發現任何問題,才能即時進行修復或更換,確保您的牙齒健康和牙齒美觀。
保固事項(保固3-5年)
- 非人為因素導致產品破損、碎裂的情況。
- 若患者未定期回診、二次蛀牙則不在保固範圍內。