植牙合併骨脊重建
案例-前牙植牙植體併發症處理
鄭聖達醫師 手術
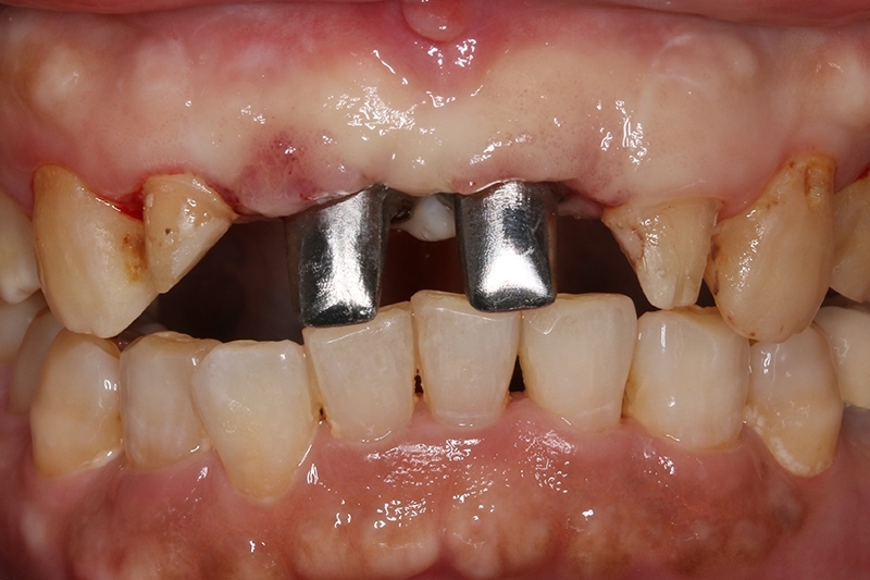
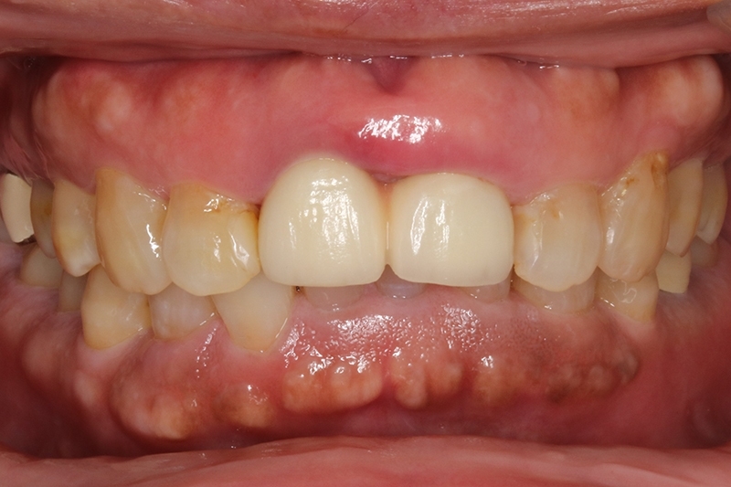
牙周治療前病患抱怨有膿在舊有的門牙植牙周邊,容易流血
初診環口X光片檢測可見植體的角度位置都不理想,齒槽骨有吸收的現象。建議患者先接受牙周病的第一階段治療,進行感染控制
經過牙周治療後,控制發炎,可見牙齦的狀況變得更健康了!
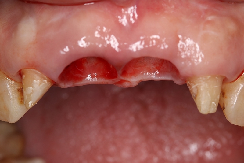
接續牙周治療完成後的療程,上排門牙植牙的問題處理,長期不斷的發炎化膿流血,除了造成周圍組織發炎與牙齦腫脹,同時造成齒槽骨被細菌破壞與吸收,根本解決的方式是建議移除感染與位置不佳的植體,先進行植牙移除手術+齒槽骨保存術,先使用膠原蛋白促進軟組織癒合,加快癒合的速度。
可見植體移除後骨缺損範圍大
取出的舊有one piece植體,舊式植體。
初步等待2個月軟組織癒合,再來進行垂直脊水平骨牙脊增寬術,使用不可吸收再生膜Cytoplast 及迷你骨釘 Tack固定放置的人工骨粉。

明顯看到水平骨頭缺損範圍
垂直骨頭缺損情況
不可吸收再生膜Cytoplast
修剪合適範圍,並在舌側固定
牙脊增寬術人工骨粉放置使用 cerabone
垂直水平補骨增寬
迷你骨釘Tack固定再生膜及骨粉
迷你骨釘固定再生膜及骨粉
2周後追蹤傷口,癒合良好。


等待6-8個月移除不可吸收再生膜+以數位導板進行植牙手術
移除不可吸收再生膜

可見骨頭生長良好
水平增寬的骨頭,這樣植牙才有理想的三度空間可以置放
放置植牙數位導板
使用數位導板進行植牙
植體植入,置放於理想的水平與垂至高度位置
縫合傷口

等待6個月進行植牙二階手術
植牙傷口癒合良好,有足夠豐隆的軟硬組織

使用水雷射進行微創植牙二階手術
取出植體之覆蓋螺絲
同時數位口內掃描影像取模
鎖入癒合帽使牙齦塑型
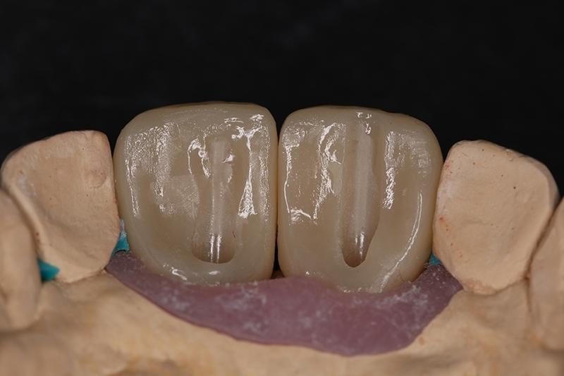
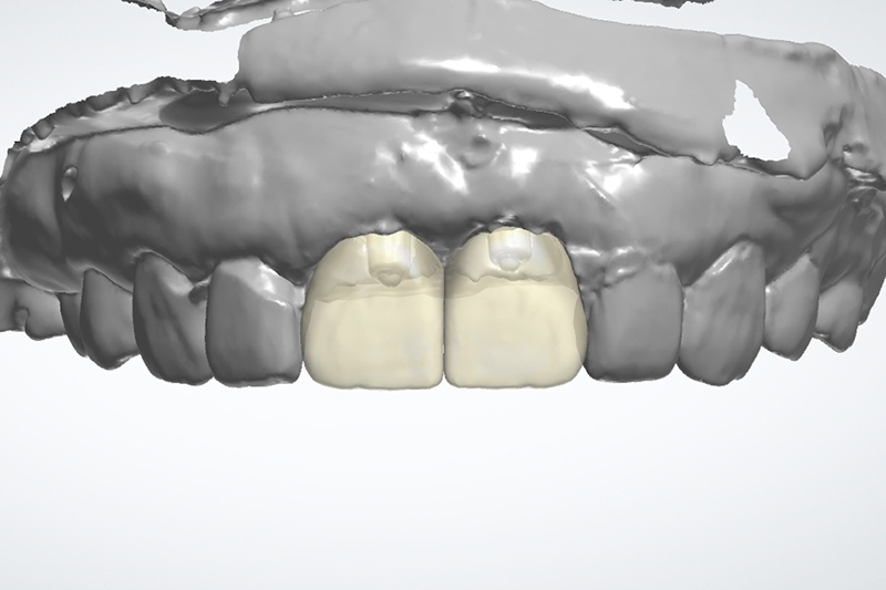
利用數位口掃全瓷冠數位設計檔

等待2個月進行植牙臨時假牙試戴

客製化金屬支台齒

植牙臨時假牙試戴2週恢復狀況
臨時假牙微笑照


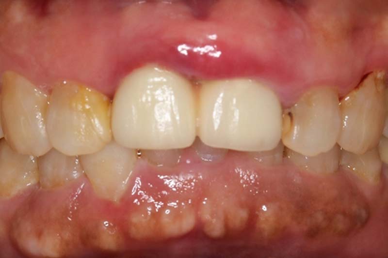
等待3個月牙肉癒合穩定裝戴植牙正式全瓷冠假牙
植牙全瓷冠假牙
假牙與顎側面維修開孔
3個月時間臨時假牙塑形牙齦

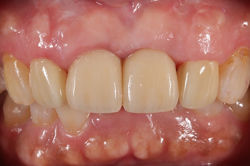
鎖入正式全瓷冠假牙
門牙植牙全瓷冠+側門牙全瓷冠完成照
術前術後對照圖
術前
術後
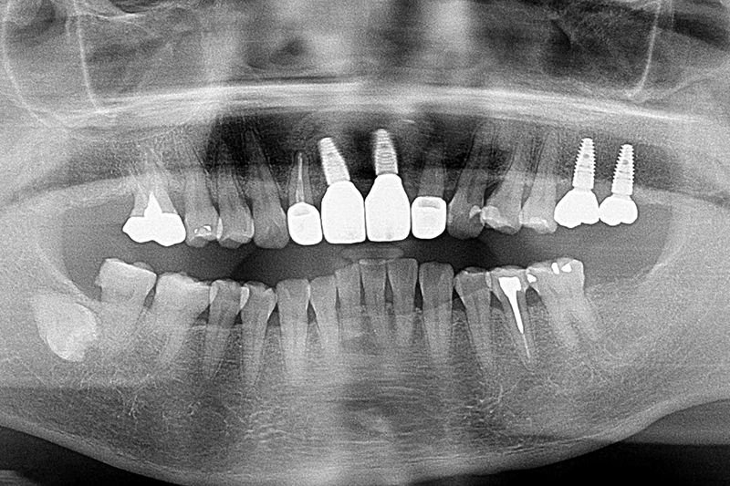
環口X光片術前
環口x光片術後
根尖X光片術前
根尖x光片術後