牙周病
牙周病治療很重要!水雷射牙周病治療精準微創又溫和
卓品牙醫集團提供傳統牙周病治療、水雷射牙周病、微創牙周病等多種專業牙周病治療方案
卓品牙醫集團牙周病治療優勢與專長
水雷射牙周病輔助治療,給您溫和安心的治療體驗
水雷射是牙周病治療方式的一種,技術是利用高階Y.S.G.G. 晶體釋放出2780mm波長雷射激發水分子,使雷射和水分子結合形成"HydroPhotonics"能量,成為具有高速動能的狀態後,即可作為組織切割之媒介。
水雷射適用於軟、硬組織的切割及包紮,可對深層牙肉進行高程度殺菌消毒,並刺激牙周組織再生,降低傳統雷射易產生的熱傷害,再加上手術過程中產生的震動及熱傷害極小,能在近乎無傷口的微創情況下進行雷射牙周病治療,因此術後復原時間較傳統翻瓣牙周病治療手術短、不適感也大幅降低。
卓品牙醫集團牙周病醫師皆受過完整專業的治療訓練及學習,以謹慎態度執行牙周病治療與器械操作,以避免不必要的牙周併發症產生,讓您放心接受專業的雷射牙周病治療。

顯微微創牙周病輔助治療,高精密的治療處理
在牙周病的治療過程中,專業牙醫師利用高倍數顯微鏡儀器放大牙周各處發炎病灶,以微創方式將高精密治療器械深入牙周囊袋底部,徹底刮除牙周囊袋內的牙結石、完整清除牙根表面的毒素,抑制細菌發炎,使恢復期中的牙周病傷口更容易穩定癒合,提供患者專業精準的牙周病治療處理。

先進牙周病治療技術,提供您高效率的療程
水雷射牙周病及微創牙周病的輔助療法較傳統牙周病治療來得精準高效,若能配合醫師的牙周病治療計畫,以免開刀的牙周病治療方向執行,將能大幅降低治療過程中執行手術的必要性。
水雷射牙周病及微創牙周病輔助治療有許多對患者的好處,卓品牙醫集團的牙周病醫師在開始進行牙周病治療前,會詳細檢視您的牙周病病灶範圍、骨頭條件、牙周組織受損程度等,再依據您的口腔狀況進行評估討論,制定出適合的牙周病治療方案,讓患者能安心接受牙周病治療,及早康復,恢復牙齒健康。
若您有牙周病或水雷射治療相關諮詢需求,歡迎洽詢卓品牙醫集團台北牙周病治療團隊!
什麼是牙周病?
牙周病即牙齒周圍的疾病。
牙周組織是指牙齒周圍具保護、支持、傳遞養分等功能的組織,包含齒槽骨、牙骨質、牙周韌帶與牙齦等構造,當牙周組織遭受破壞或感染而生病,即是所謂的牙周病。
牙周病的前兆
牙結石與牙菌斑
- 牙菌斑
當牙菌斑附著於牙齦及牙根的表面,牙菌斑內的細菌會產生毒素,誘發身體的免疫反應造成牙齦發炎,而齒槽骨的免疫細胞(如:蝕骨細胞)會吸收感染的牙周組織,造成牙周囊袋變深、不易清潔,甚至堆積厭氧細菌。
- 牙結石
若沒有適時除去牙菌斑,牙菌斑就會慢慢累積水中的礦物質,最後被鈣化形成牙結石,而牙周病真正的元凶是附著在牙結石表面的牙菌斑,因此牙結石是牙周病的幫兇!
另外,當牙周組織發炎或牙結石堆積在牙根時,就會產生一定程度的細菌,這些細菌可能會經血液循環到達身體的其他部位,感染其他的器官,如感染心內膜炎、吸入性肺炎等,甚至可能引發敗血症而危急生命安全。
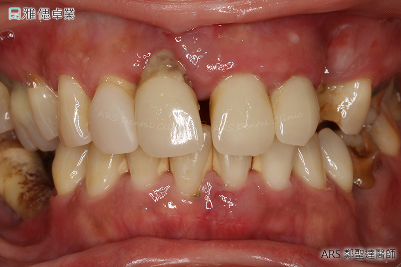
牙齦發炎/流血
若患者沒有做好口腔衛生,牙菌斑及牙結石就容易引起持續性的牙齦發炎,甚至在牙肉處產生牙齦流血的問題,進而破壞牙周組織,形成牙周病。
許多人不了解口腔發炎的嚴重性,忽視輕微牙齦發炎影響口腔健康的重要性、或是礙於對牙醫的恐懼而遲遲不至牙醫診所治療,讓牙周炎成為細菌的溫床,並漸漸破壞齒槽骨,最終形成嚴重牙周病,甚至造成牙齒鬆動、脫落的情形。



牙周病的症狀
牙齦流血
牙齦從粉紅色變為暗紅色,刷牙或平時出現牙齦出血症狀
口臭
口腔氣味不佳或有無法去除的異味
牙齦紅腫
牙齦腫脹、有觸痛感或產生膿包,當牙齦受壓時有膿從牙齒和牙齦之間流出
牙縫變大
牙齦萎縮,使牙根暴露及牙縫變大
牙齒敏感
牙齒對冷熱敏感
牙齒搖動
牙齒鬆動或咀嚼無力
咬合無力
牙齒發生位移或無法正常咬合
因牙周病較少出現疼痛症狀,民眾多容易輕忽,誤以為只是火氣大而導致延誤就醫。若您發現自己有以上症狀,建議盡快預約牙醫師進行檢查。
牙周病治療的目標

恢復患者牙周健康
穩定牙根、降低牙周囊袋深度、建立易清潔的牙周組織
使牙菌斑不易附著
清潔/刮平牙根表面,使牙菌斑不易附著於牙根表面。
方便患者清潔牙齒
去除深度大於4mm以上的牙周囊袋,讓一般人易用牙刷、牙間刷、牙線等潔牙工具進行清潔。
牙周病治療方式---傳統治療

基本治療(非翻瓣手術治療)
A. 使用經特殊設計、適合各種不同牙齒及牙面的精密牙周刮刀,將牙根上的結石清除。
B. 由經過完整牙周病治療訓練的醫師手工操作,憑藉豐富臨床經驗,將牙根上的牙結石清除乾淨,恢復牙根的平整與潔淨。
C. 大多數牙周病患者經過基本治療,皆可達到控制牙周發炎的治療目標,在初期就抑制牙周病持續惡化

手術治療(翻瓣手術治療)
A. 經過牙周病基本治療後,通常有適當的觀察期(1~3月)。
B. 觀察期過後,若醫師評估仍有深的牙周囊袋,牙周發炎未能完全控制時,則需實施牙周病手術。
C. 一般牙周手術治療的目標在於徹底清除深度牙周囊袋內牙根上的結石以及發炎牙周組織。
D. 特殊牙周手術可配合各式牙周再生技術及材料,以促進牙周再生。

定期保養(定期牙周回診)
A. 經過整體的牙周病治療後,患者需以良好的口腔清潔與衛生習慣來維持牙周健康,所以當患者回診時,我們會透過牙菌斑顯示劑紀錄刷牙狀況,以「互動式教學」進行口腔清潔衛教,或透過全口超音波洗牙及全口噴砂,確保牙齒表面常保潔淨。
B. 在定期的回診保養治療(3~6 月)下,不僅能維持牙周健康,更能降低牙周病復發的機率。
牙周病診療順序

STEP1 初診諮詢及檢查
① 確認牙周病病程及治療方向,初診檢查:全口X光檢查,全口牙周檢查,全口牙齒相關問題檢查。
② 詳細檢查齒槽骨被破壞的程度、牙周發炎的程度及牙周囊袋的深度。
③ 詳細檢查牙齒相關的問題,全口診斷及預後評估,由檢查結果診斷出牙周病的分類、嚴重程度及判斷牙齒保留的可能性。
④ 擬定治療計劃及講解說明,及費用評估,針對個人的牙周病擬定個人化的治療計劃,並詳細說明治療計劃的內容及流程。
⑤ 專業的口腔衛生教育,藉由個人化的口腔衛生學習,掌握清潔牙齒的操作技巧,徹底清除口腔內的牙菌斑。
STEP2 基本治療 (第一階段)
收集資料
① 收集全口口內照片,記錄目前牙周現況
② 根尖X光片18張,記錄齒槽骨被破壞的程度
③ 牙周囊袋探測 ,詳細檢查並記錄牙周囊袋的深度
療程內容(每次療程相隔時間約1~2週,診療時間約45~60分鐘)
① 右邊上、下齒齦下刮除術(搭配水雷射輔助牙周治療)
② 左邊上、下齒齦下刮除術(搭配水雷射輔助牙周治療)
③ 口腔潔牙狀況追蹤及互動式刷牙教學、全口噴砂、全口超音波洗牙
④ 同③的項目
⑤ 全口牙周囊袋總檢測、評估是否進入第二階段牙周手術(牙周翻瓣手術)
STEP3 手術治療 (第二階段)
① 一般牙周翻瓣手術治療的目標在於徹底刮除深度牙周囊袋內牙根上的結石及發炎的牙周組織
② 特殊牙周手術可配合各式牙周再生技術及材料,以促進牙周再生
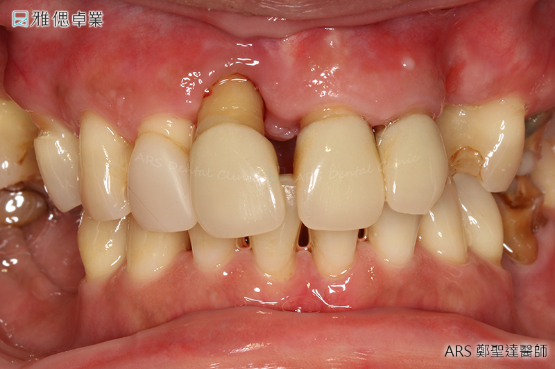
牙周治療後,會有下列情形
① 因為發炎而腫脹的牙齦經治療消腫後,變得較健康且結實,有部分牙齦會有退縮,且因骨頭高度降低而不會還原
治療過後,由於牙齦退縮,牙根外露,有些牙齒對於冷熱、某些水果、甜食會比較敏感,這種情形通常三~四天會漸漸改善,少數人可能要一~二個月
② 會搖動的牙齒治療後,可能還是會搖,這是因為地基本來就太少的原因,但功能上不會有太大的影響
STEP4 維護治療
① 定期保養(追蹤牙菌斑指數、互動式刷牙教學、全口超音波洗牙、全口噴砂)
②在定期的保養治療(3~6 月)下,不只維持牙周的健康,更可預防並減少牙周病的復發
牙周清潔工具使用

口中的細菌會因為口水中的粘性蛋白質等作用,形成附著在牙齒表面的一層薄膜。
最新的報告顯示,牙菌斑的形成跟進食沒有一定的關係,因為當你徹底清潔完牙菌斑,經過六個小時後,人體又會產生新的一批牙菌斑,這也就是為什麼即使你長時間未進食,每六個小時還是需要刷牙(例如起床後的刷牙),但因為現代人過於繁忙,醫生通常會建議患者用餐完一併刷牙。
牙齒頰側舌側
使用牙刷,刷上顎牙齒時刷毛朝上,下顎則朝下,刷毛對準牙齒與牙齦交接處,刷毛與牙齒縱軸呈45度角,牙刷輕壓向牙齒使刷毛側邊也與牙齒相當大接觸,作短距離水平運動或畫圓刷,以每次刷兩顆牙齒為範圍。咬合面刷毛垂直,用前後運動的刷法。在大臼齒最後方可用單束毛牙刷。
牙齦沒有萎縮的位置使用牙線,牙線分為有臘與無臘兩種,二種效果一樣好。無臘牙線把鄰接面刮乾淨時,便可聽到吱嘎聲,而有臘牙線則必須先把牙線上的臘刮完後,才可聽到吱嘎聲。
有較大牙縫時
超級牙線
由3個部分組成一條牙線,第一部分牙線較硬,如牙線穿引器般把牙線帶入牙縫,第二部分較粗像毛線構造,便清潔凹面或較大牙縫,第三部分為牙線。
牙間刷
牙周患者牙齒間縫隙較大時適用。
單束毛牙刷
每顆牙齒鄰接的牙齦三角縫,頰側舌側都要刷,單點畫圓運動。
牙線穿引器
固定假牙如牙橋下,臼齒的牙根分岔處:牙線穿引器或超級牙線,可以帶牙線穿過清潔。
電動牙刷
老人家或手操作不便者,建議用電動牙刷。
沖牙機
只能沖掉食物殘渣,不能有效去除菌斑。
牙齦流血






