全口植牙


ALL ON 4/ALL ON 6 一日全口植牙,解決嚴重缺牙問題
精準有效率的全口快速重建植牙系統
卓品牙醫集團體系使用Nobel Biocare為我們的患者提供All-on-4® 全口重建植牙治療。
為何ALL ON 4/ALL ON 6選擇卓品牙醫集團?
- 優秀的台大植牙專科訓練醫師群偕同治療
- 高階電腦斷層合併數位導航軟體
- 牙周專科植牙手術醫師主刀
- 全口重建假牙專科醫師合作重建立即乘載假牙
- 高規醫療團隊 實證醫學 醫療與服務品質兼具
- 提供理想且耐用的治療方向
All-on-4® 全口速定植牙具有固定式全牙弓修復的微創解決方案,可提高患者滿意度。
概念為一日內為患者提供上顎或下顎牙齒長久性的全口固定式假牙。
此治療適合於那些牙齒大量缺牙的患者,以及下顎骨條件不足導致無法植牙的人,卓品牙醫集團的醫師都會細心評估患者的治療可行性,提供患者專屬的治療方案。
一、All-on-4® 全口速定植牙治療簡介

1998年,Paulo Malo博士使用All-on- 4® 治療概念成功治療了第一位患者。從那時起,使用All-on- 4® 對該概念進行了數十萬例患者的治療。
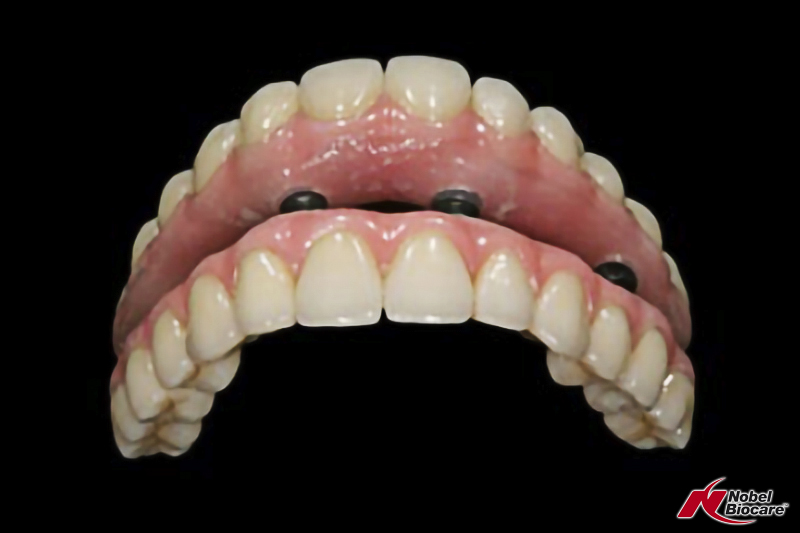
All-on-4®治療包括四個植入物,前側兩個直形植入物,後側兩個斜形植入物,它們可以支持臨時、固定立即加載的全牙弓假牙,可作為微創植牙的解決方案。
適合採用All-on-4®治療的患者通常患有是全口缺牙,嚴重牙周病病人,咬合喪失等等,或者正在考慮同時拔除剩餘條件不好的的牙齒,並植入種植體並進行臨時修復。
為什麼選擇卓品牙醫集團的All-on-4®全口植牙治療?


快速改善生活質量
All-on-4®、 All-on-6®的全口植牙治療概念使用在無牙和即將面臨無牙的患者,在手術當天植入四顆到六顆固定的植牙並同時提供假牙的方案。可以快速提高患者的各項滿意度,不管在功能,美學,感覺,言語和自尊方面,幫助患者快速解決缺牙的困擾。
更短的治療時間
All-on-4®、 All-on-6®的全口植牙可顯著降低治療程序的複雜性,進而減少手術次數和總體治療時間,植牙角度的傾斜免除了耗時的補骨程序,更可立即戴上臨時假牙,縮短治療完成的時間。
降低成本
與傳統單顆的無牙頜的種植體治療方式相比,All-on-4®治療概念不僅是更省時的治療方案,而且成本更低,提供患者一個更合適的全口植牙治療選擇。
即使在最小骨量下也能保持穩定
通過傾斜兩個後部植入物,可以使用更長的植體。這樣可以增加骨骼與植入物之間的接觸,並避免垂直的骨骼增大。此外,傾斜的植入物可以錨固在質量更好的前骨中,減少懸臂並有助於避免削磨重要的牙周組織。
二、All On 4/All On 6全口植牙治療方案與優勢

All On 4/All On 6全口植牙是一種先進的植牙治療方式,只要在口腔植入4顆、6顆植體,就能達到傳統全口植牙的重建效果,適合全口無牙、全口重建條件差、多顆缺牙、想要做全口植牙但骨頭條件不好、配戴活動假牙且又必須進行全口重建的病患。
卓品牙醫集團台北植牙診所有專業的植牙醫療團隊,利用3D斷層掃描X光、手術導引模板及數位化的術前模擬,讓全口植牙療程精準快速且安全性高,診所附設的數位技工所還可配合達成All On 4/All On 6一日全口植牙療程,讓您的植牙療程快速有效率,相關清潔維護服務也更加方便。
三、ALL ON 4/ALL ON 6全口植牙的優點
卓品牙醫集團台北植牙診所為您設計適合您需求的全口植牙治療方案,提供ALL ON 4或ALL ON 6的全口植牙重建。全口缺牙的人可能會選擇裝戴活動式假牙,但這種傳統解決方案通常不太穩固,甚至會讓您感到既不方便又不穩固。活動式假牙有時會造成牙床壓迫、發炎、疼痛,經常導致咀嚼困難,讓您無法像過去一樣盡情享受美食與開懷大笑。
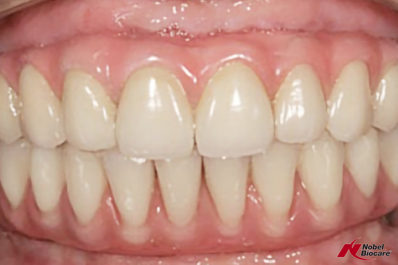
ALL ON 4/ALL ON 6是利用斜張橋般的特殊力學設計,前面兩顆垂直的植體,後面兩顆30度至45度的植體,支撐單顎一排12顆牙,可幫助您快速地獲得全口植牙假牙重建,即刻重回美食的懷抱,更讓您恢復自信笑容。
1. 當日裝牙即可進食
ALL ON 4/ALL ON 6全口植牙能實現您一日快速重建的理想,無需耗時等待癒合,當日就能裝上臨時假牙,快意享受美食與生活
2. 迅速恢復自信笑容
當日裝上臨時假牙讓您無須擔心缺牙的彆扭與尷尬,ALL ON 4/ALL ON 6全口植牙立即改善您的缺牙外觀,讓您恢復美麗笑容與自信
3. 縮短療程及癒合時間
ALL ON 4/ALL ON 6全口植牙採用傾斜式植體技術,在植入人工牙根時可避開骨缺損區,不需要進行補骨手術,因此能縮短治療時間與手術次數,降低病患的恐懼感與不適
4. 經濟實惠的全口重建方案
相較於傳統植牙手術,ALL ON 4/ALL ON 6全口植牙只需4根及6根植體就能支撐全口假牙,治療時間較短、手術次數也較少,因此費用比傳統植牙來的更經濟5. 豐富臨床研究文獻及科學實證
有豐富臨床成功記錄與研究,ALL ON 4/ALL ON 6全口植牙方案能防止缺牙處進一步的骨質流失,減少對骨移植的需求
四、ALL ON 4/ALL ON 6 全口植牙的重建流程
1.諮詢
初診諮詢,傾聽需求,確認身體健康狀況、有無家族遺傳病史

2.收集資料
以斷層掃描、口內模型、口內外拍照等方式,收集您的口腔資訊並檢視評估


3.治療計畫
客製化制定專屬治療方案,為您解說專案治療內容、植體設計定位及各項治療階段費用,精心詳細的術前診斷和治療計劃對於您的治療成效至關重要,我們在意每一個細節,一心一意為病患找回失去已久的口腔健康
4.手術進行
在進行精準的全口快速植牙重建手術後,當天即可試戴支架假牙,讓您即刻體驗絕佳咀嚼功能

5.追蹤
定期回診清潔、檢查,維護口腔健康,增長植牙使用年限

| 追蹤時間 | 療程內容 |
|---|---|
| 術後2-4週 | 拆線追蹤,口腔清潔及咬合調整 |
| 術後兩個月 | 口腔衛生檢視及咬合調整 |
| 術後四個月 | 假牙卸下清潔及咬合調整 |
| 術後六個月 | 正式假牙取模及製作 (至完成共需3-4次) |
| 每三個月 | 建議定期回診及口腔清潔 |
五、ALL ON 4/ALL ON 6全口植牙操作設計過程示意圖
六、ALL ON 4/ALL ON 6全口植牙手術方式
手術可分為傳統手術及數位導航手術如下示意圖:





植牙後當天立刻裝上假牙



七、All-on-4®治療常見問題解答
1. All-on-4®全口速定植牙是否適合我?
非常適合對疼痛的耐受性較弱且時間有限的患者
柔和的治療概念All-on-4®消除了病患對牙齒植入物或手術的恐懼,讓您可以更輕鬆地說話、咀嚼和微笑
2. All-on-4®全口速定植牙治療有什麼好處?
- All-on-4 除了改善您的缺牙困擾更兼具美觀性
- 可以避免冗長且不可預測的補骨、植牙療程
- 模仿天然骨頭隆起的形狀,使塌陷的組織有支撐,能夠減少法令紋、皺紋
- 讓您提升自信、恢復自然美觀又協調的唇形
- 保持健康的清潔習慣,即可維持口腔的健康狀況並保護您的牙周組織
- 舒適的固定式設計,可幫助您恢復自然的咀嚼功能
八、ALL ON 4/ALL ON 6全口植牙操作設計過程示意圖





