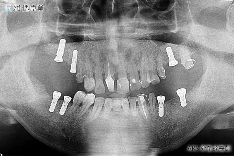
人工植牙
專業台北人工植牙 推薦您選擇卓品牙醫集團!
卓品牙醫集團診所提供高品質的台北人工植牙相關療程,卓品牙醫集團牙醫擁有專業的植牙醫師團隊,植牙醫師會根據患者的口腔狀況,規劃合適的人工植牙治療計劃,不僅嚴選知名的國際植體品牌,且為患者客製化設計植體、支台(接頭)、假牙牙冠,讓植牙的口碑與質量更有保障,給患者適切且安心的台北專業人工植牙治療。接著,植牙醫師會以精湛數位植牙技術完成人工植牙手術,讓患者快速享有美觀、自然、穩固的假牙,盡情享受美食與生活,不再受缺牙的困擾!



什麼是人工植牙?
「人工植牙」是以高度生物相容性原理,以鈦合金製成的人工牙根(植體)取代原有牙根,將其植入患者的口腔齒槽骨上,待植體與齒槽骨緊密結合後(約三至六個月),牙醫師就會在人工牙根(植體)上方,裝上固定假牙,快速恢復患者的咀嚼功能。反之,若患者的顎骨條件不佳(如:太薄、流失過多、不夠強韌、太接近鼻竇等),進行人工植牙手術時,就容易產生健康安全的疑慮,甚至造成人工植牙失敗。
對於顎骨條件不佳的患者,專業醫師建議患者在植牙手術前,藉由人工骨粉、引導骨再生術、齒槽脊保存術或上顎竇增高術等,增加骨質的條件,約3-6個月後便可進行人工植牙手術,確保植體的穩定度。
卓品牙醫集團提供的專業的人工植牙診療服務,我們深知缺牙的痛苦及看牙醫的緊張,因此,我們的醫師團隊在初診時,深度了解患者的口腔問題,並詳細的與患者說明檢查狀況和建議的治療方案,以此降低患者對人工植牙的疑慮和擔憂,陪伴患者一起面對口腔問題。
上顎竇增高術
使用特殊器械將上顎竇膜往上推高,以骨粉填入的方式撐出植牙所需之安全體積,而在骨頭條件許可的情況下,可以當天植入植體。
上顎竇增高術之術式
- 上顎開窗術-Open window technique:從頰側/顎側骨開口將鼻竇撐高,填入骨粉,因傷口範圍稍大,術後較容易腫脹。
- 骨鑿增高術-Osteotome technique:直接由鼻竇底部頂高鼻竇膜,再填入骨粉將鼻竇腔內墊高鼻竇底部,傷口小、些許腫脹。






什麼是微創植牙?
微創植牙手術是一種新式的人工植牙手術,不僅具有傷口小、癒合快、疼痛感低的特點,,且人工植牙醫師只需要10~15分鐘,就能完成一顆人工植牙手術,幫助患者快速重拾自信的笑容!
然而,並非每一位患者皆能進行微創人工植牙,植牙醫師會根據患者的齒槽骨密度、神經血管走向、上顎竇位置後,專業評估微創植牙手術的成功率與安全性,盡可能幫助患者獲得適切的人工植牙治療。
微創植牙術前必須評估的事項
植牙區的骨質條件
足夠寬大者才比較容易執行
是否需要補骨
若是有大規模補骨的需求,則建議採一般人工植牙療程
植入牙根的長度與直徑
植牙的四周
是否保有1-2mm寬的角質化牙齦,能讓患者較易維持清潔
患者是否有全身性疾病
如糖尿病、洗腎病患、愛滋病或是嚴重骨質疏鬆症者
患者是否有不良生活習慣
如抽菸、嚼食檳榔、酗酒
是否有3D電腦斷層掃瞄儀器
透過高階儀器協助醫師進行手術






什麼是3D數位植牙?
數位植牙是藉由影像導引(Imaging Guide)的技術保留手術導引(Surgical Guide)與電腦導航(Navigation)技術的優點,讓牙醫師在進行植牙手術時,清楚知道鑽孔的軸向與位置,即時改變或修正植牙手術計劃。
在植牙療程的過程中,專業醫師會透過「植牙規劃軟體」找出合適的植體大小及植入位置、角度與深度,再為患者設計專屬「手術引導板」,將手術引導板安裝在於患者的缺牙位置,定位適當的角度、位置與深度,快速完成高效能數位植牙療程、大幅提升植牙治療的舒適體驗!
植牙手術導引板設計過程






人工植牙的介紹
人工植牙的緣起與歷史
最早的人工植牙一開始並不是牙科醫師所發現的,而是由「現代植牙之父」-瑞典的骨科醫師布倫馬克(Branemark )博士發現,西元1955年,他在從事骨頭癒合的機轉研究中,偶然的將純鈦物質放入骨頭內,在組織的觀察中竟然發現人體的骨組織與軟組織對於鈦的生物相容性很好,與鈦金屬產生穩定的接合,後續便開始針對這個現象研究將鈦置入人體的骨頭中,慢慢的演變成現今的植牙。
瑞典的研究團隊針對這個現象發展出圓柱狀的人工牙根,並開始進行動物實驗,西元1965年初次將人工植牙放到病人的下顎骨中,經過骨整合後並安裝假牙。1983年,布倫馬克博士等人於國際口腔外科期刊(Int. J. Oral Surg)刊登臨床報告,並將此現象稱之為 osteointeration 骨整合,從實驗的結果可以看到有高達85%的成功率,在臨床文獻發表後,各國也相繼開始研究並以人工植牙作為治療方案。
當病人問說人工植牙可以用多久,我們就會跟病人說明,瑞典第一個病人的植牙已穩定在口腔內4、50年了,雖然最好的還是自己的自然牙,但不可否認的是,人工植牙大大改變了現代牙科治療的觀念,現今已成為最佳的牙齒取代方案之一。而人工植牙相關的植牙表面、植體設計、支台設計等也慢慢的在發展,搭配適當的手術方式,並藉由水雷射應用、影像檢查、引導骨再生、牙脊再生術等技術取得生物因子的應用,也讓牙科治療邁入了新的時代。
人工植牙的系統與設計Dental Implant Systems
最早期的人工植牙呈銳利刀狀,慢慢的發展成現在的牙根型態,目前市面上的人工植牙材質都是利用鈦合金的高度生物相容性原理製作,但開始著重在植牙表面的處理,包含植體表面改質、噴砂酸蝕、離子效應、微電弧電漿氧化、骨形成蛋白2、骨整合,所以植體設計(螺紋與型態)、支台齒(上部的構造)的連接等,在設計上都有不盡相同之處。
以世界前幾大人工植牙品牌為例
瑞士 Straumann
為粗糙表面、螺紋圓柱狀,內八角連接系統
瑞典 Nobel Biocare
為粗糙表面、螺紋圓柱狀,外六角連接系統
瑞典 Alphabio
為粗糙表面、螺紋牙根狀,內部六角形、錐形六角形連接系統
歐洲 Dentsply
(瑞典Astra/德國Ankylos/德國Friadent)
為粗糙表面、螺紋牙根,內卡榫連接系統
美國3i
為粗糙表面、螺紋圓柱狀,內六角連接系統
![]()
其他
同一品牌也會針對不一樣的病人需求設計合適的植牙,一般而言,植牙本身多為鈦合金,為圓柱狀或圓錐狀,而針對不一樣的口腔部位與植牙需求,卓品牙醫集團專業台北人工植牙團隊會為您挑選最合適的植牙大小與長度,讓您的植牙能和諧的融入自然牙中,美觀又自然。
人工植牙的優點
![]()
保有鄰牙健康及完整性
針對缺牙位置重建
![]()
恢復美觀及咬合功能
提升自信心
![]()
維持骨骼輪廓
避免齒槽骨骨質流失
![]()
使用年限長
與傳統牙橋相比更容易清潔
在植牙前擬定治療計畫時需考慮
牙齒基本治療
包括齲齒填補、根管治療或假牙重建等。
牙周病治療
包括基本牙結石去除、噴砂將牙齒表面沉積物去除、水雷射牙周治療或手術牙周治療。
植牙條件評估
骨質或量不足時需補骨或相關手術改善植牙條件,以提高植牙成功率。
牙齒矯正
扶正傾倒的牙齒,並關閉牙齒縫隙,將往咬合面挺出的牙齒以矯正的方式排入並重新建立咬合水平再進行植牙 。
咬合重建
牙齒過度磨損易引起顳顎關節受損,甚至造成植牙後的假牙製作上有困難。
人工植牙的療程順序
STEP1 諮詢、醫師診斷、收集相關資料與規劃療程
在醫師了解您的需求後,會拍攝斷層掃描、取得齒顎模型,製作數位手術導引板,擬定治療計畫,同時醫師會利用植牙模擬軟體,精準判斷植牙位置,提升植牙的成功率,讓植牙更精準、更安全。
STEP2 植入人工植牙手術
局部麻醉後,醫師會利用手術導引板抓取精準位置與角度,將植體放入齒槽骨中,先進的數位導引板不僅能縮小手術誤差,同時也可控制傷口範圍,使植牙術後的癒合更為迅速。植入人工牙根後,骨細胞就開始進行植體的整合。
STEP3 牙齦塑形
植體在人體內3個月後,骨整合已經足夠支持咬合力,為了塑造未來牙套的牙齦型態,醫師會在植體上端接入牙齦成形帽,使牙齦生長為理想形狀。
STEP4 取得牙套(假牙)主要模型
醫師會為您的植體設計客製化的支台齒(連結人工植牙與假牙),來支撐牙套,並且會為您和原本的牙齒進行比色,讓患者植牙完成時,假牙顏色不會和真牙顏色有所落差。
STEP5 臨時牙套(臨時假牙)觀察期
(看個人狀況決定是否需要臨時牙套)
支台齒安裝後,醫師會安裝樹脂製作的臨時牙套在支台齒上。您可以使用它咀嚼食物,醫師會觀察使用的情況,作為正式牙套(正式假牙)的設計參考。
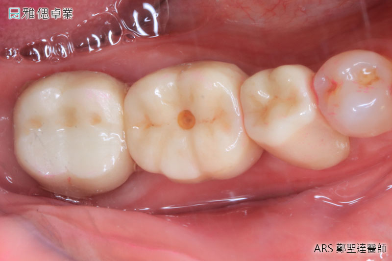
STEP6 正式牙套(正式假牙)完成
假牙會依據適合患者的咬合來做設計,若挑選全陶瓷假牙,它的高硬度及部分透光、美觀、咬合力量、高生物相容性、高密合度都會讓您照顧起來更加容易輕鬆。


人工植牙後的維護保養
假牙完成後,都需有良好的口腔衛生保養,維持良好的口腔清潔習慣,才能保持人工植牙的健康和延長人工植牙的壽命。人工植牙與自然牙一樣,需要使用牙刷、牙線及口腔清潔用品來清潔,以及定期口腔檢查。建立正確的咀嚼習慣便能延長您的人工植牙的壽命。建議每三至六個月回診洗牙,避免牙結石堆積導致植體周圍組織發炎,形成所謂的「人工植牙的牙周病」,久而久之便會導致人工植牙的失敗而掉落。

選擇適合植牙的潔牙工具
- 牙刷:選擇刷頭短小、刷毛柔軟的牙刷,來清潔植牙內外側及靠牙齦處。
- 牙間刷:可用於清潔植牙兩側縫隙,但要避免使用有金屬露出的牙間刷頭,以免刮傷人工牙根表面的鈦金屬。
- 牙線:除了使用一般牙線外,牙橋下的支台齒部份,尚須使用三合一牙線來清潔。
- 沖牙機、電動牙刷、漱口水等亦可幫助清潔植牙,但不能代替以上之潔牙器具。
活動假牙下的人工牙根,只需將假牙拿下用軟毛牙刷清潔即可,若有牙齦發炎可使用醫師處方之漱口水。

定期回診追蹤檢查
- 基本檢查:人工牙根和假牙的密合度及完整性,螺絲是否鬆脫,使用情形是否良好。口腔衛生情形,是否牙齦發炎、植體周圍炎等症狀,必要時使用塑膠刮牙器清潔牙根周圍,以免刮傷人工牙根表面的鈦金屬。
- X光檢查:在第1,3,5,7,10,15年回診時檢查骨質密度、骨頭高度的變化及牙根與支台齒的密合度。
.png)
.png)