水雷射
雅偲卓業水雷射介紹
*影片提供來源:BIOLASE*
“Waterlase” 以字面上來解釋是水和雷射的結合,技術上的解釋是利用由 Er,Cr : YSGG 晶體釋放出特殊  2780nm 的雷射光源被水分子吸收結合,這個特殊波長的雷射可激發水分子而形成 “HydroPhotonics” 的能量,使水分子激發成為具有高速動能的狀態,利用水分子作為組織切割之媒介。
Erbium (鉺), Chromium (鉻): Yttrium (釔), Scandium (鈧), Gallium (鎵), Garnet (石榴石) = Er,Cr:YSGG = 2780 nm = 2.78 µm


水雷射獨特的特點
大多數的水雷射治療其實無須施打麻醉,治療過程中造成的不適感較低。水雷射專利技術的優勢,不但可以用來處置口腔內的軟、硬組織,在組織細胞切割之過程中僅產生極小的震動,幾乎沒有熱傷害,領先於其他牙科用途的雷射系統。
水雷射牙周手術
 
低疼痛牙周病快速治療運用水雷射新科技,能把全口牙周病治療時間縮短,術後復原時間比傳統開刀減少一半以上,殺菌力更佳,不需忍耐強烈術後腫脹等不舒適感,也可以減低害怕開刀的心理負擔。

 

牙周治療用水雷射處理牙周囊袋細菌

- 有效深入牙周囊袋清除發炎、潰爛組織
 - 消滅細菌同時治療輕度牙齦炎
 - 擁有卓越的殺菌效果
 - 有效促進治療部位傷口癒合
 - 降低牙周治療後腫痛不適感
 - 大幅縮短牙周治療療程
 
傳統牙周手術
 
- 傳統翻瓣手術,增加治療壓力
 - 不易清除發炎及潰爛組織
 - 殺菌力有限、癒後難以掌握
 - 術後伴隨不適疼痛腫脹
 - 治療進度不易掌握
 
水雷射牙周手術
 
- 無須翻開牙齦,增加治療舒適度
 - 更有效深入清除發炎及潰爛組織
 - 卓越的殺菌性促進術後復原
 - 更有效地控制術後腫痛
 - 大幅縮短治療程序
 
水雷射牙冠增長術
 
水雷射用來切割組織的水分子是具有生理相容性。也因為 Er, Cr: YSGG 雷射所產生的能量會充分被水吸收,在手術過程中不會產生熱及震動,在大部分的病例中,病患的疼痛感受會大幅的降低,因而能減少對麻醉的需求,同時也能縮短在診療椅上的時間。因為疼痛減輕、並降低出血量,又減少了高速鑽牙時所產生的噪音,解決了許多病患害怕鑽牙及不敢看牙醫的困擾。
傳統牙冠增長術
 
- 必須注射麻醉控制疼痛
 - 傷口破壞大癒後不易照護
 - 切割邊緣預測性難以掌握
 - 術後伴隨疼痛腫脹,影響生活作息
 
水雷射牙冠增長術
 
- 疼痛感較低, 治療僅局部塗麻
 - 疼痛感較低, 治療僅局部塗麻
 - 絕佳可預測的療效
 - 不需擔心牙齦邊緣萎縮
 
水雷射植牙手術
傳統的雷射植牙會有灼熱感,然而雅偲引進先進的水雷射科技微創植牙,不必縫合傷口,在整個治療過程中將傷口範圍縮小,讓患者感受更加舒適,更大幅度降低術後腫脹疼痛等不舒適感,也可以減少患者害怕開刀的心理負擔。
傳統牙周手術
  
- 手術傷口範圍大,出血多
 - 物理性壓迫切割,組織傷害較大
 - 物理性組織切割致使術後易腫脹
 - 恢復期緩慢,影響術後生活作息
 - 僅能依靠感染控制,降低感染機率
 - 無殺菌效果
 
水雷射牙周手術
  
- 微創治療傷口更小,出血更少
 - 精確及精緻切割,組織傷害更少
 - 水雷射的生物刺激特性促進骨細胞分裂增生
 - 促進微血管及淋巴組合,舒緩術後腫脹
 - 水雷射具備的殺菌效果,降低感染機率,增加植牙成功率
 
水雷射牙齦美白
傳統治療牙齦黑色素沉澱
- 手術過程需麻醉
 - 必須透過「牙齦刮除術」以手術刀直接刮除牙齦表面
 - 傷口破壞較大,術後不易照顧
 - 傷口恢復期約半個月
 - 恢復期間影響生活作息進食困難
 
水雷射牙齦美白




- 以水結合雷射切割,切除暗沉牙齦
 - 微創治療傷口更小,有效降低出血量
 - 精準及細緻的切割,對牙周組織傷害較小
 - 刺激牙齦組織再生進而達到牙齦美白的效果
 
若是配戴金屬假牙的病患,即使接受牙齦美白,仍須更換其他材質如陶瓷的假牙,才能避免黑色素再次沈澱。另外,牙周病的患者牙齦可能發炎、紅腫,必須先治療牙周病,才能接受牙齦美白。
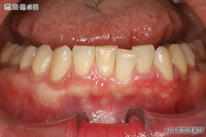
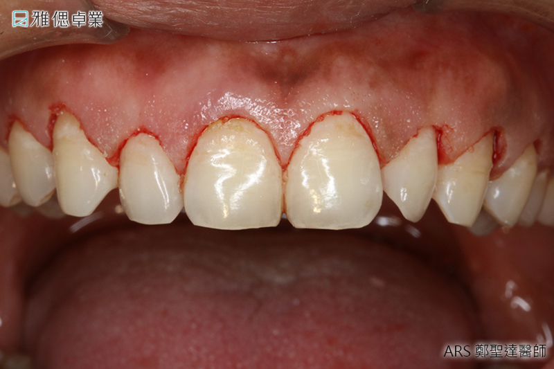
案例分享
實際案例水雷射牙冠增長術術前術後對照










實際案例水雷射牙周病治療術前術後對照







