All-on-4
All On 6 全口重建案例分享

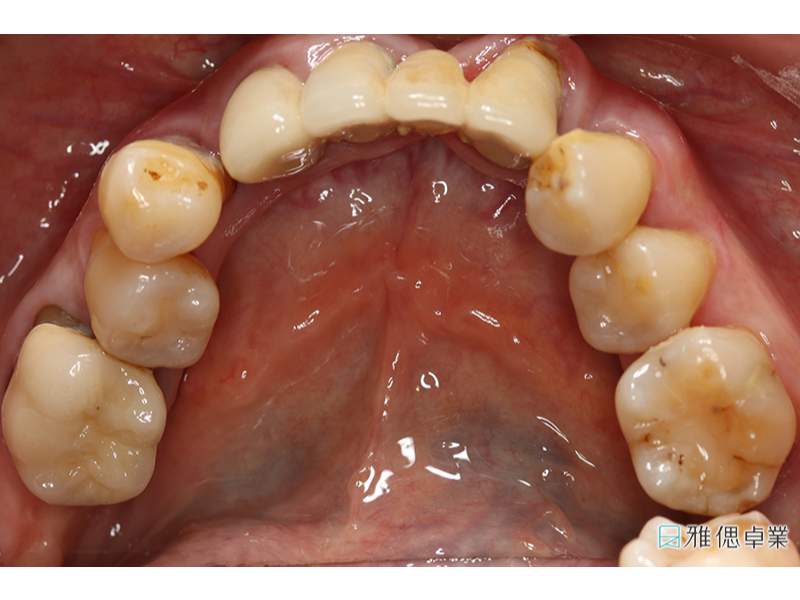
個案表示以前看牙的感受都不是很好,很多牙齒都因此延宕治療,導致許多牙齒留不住而拔掉了,上顎只剩下兩顆牙,下顎雖然剩下較多牙齒,但因為牙周病的問題,也無法好好吃東西,能夠選擇進食的食物非常有限,缺牙的狀況讓咀嚼食物的能力變差,進而造成腸胃消化系統的負擔。
平常需要佩戴活動假牙,但活動假牙又容易鬆動、又容易有食物殘渣的堆積,再加上戴著活動假牙時發音咬字也沒有那麼清晰,其實個案說常常都是戴不住的狀態,對於吃東西跟參加社交活動,在生活品質上已造成影響。
在諮詢過程中,得知她在雖然大部分時間都在家上班,但偶爾仍需要外出和客戶對話,儘管事業有成,但唯一美中不足,讓個案備感困擾的就是牙齒狀況了。
All-On-6全口重建的最大好處在於可以短時間完成手術,與傳統植牙相比之下,能使用更短的時間恢復笑容,以及享受食物,經過All-On-6全口重建治療後,徹底改善了原本活動假牙遇到的問題,不需要再使用假牙黏著劑也不用擔心鬆動的問題,飲食上也恢復正常,不用擔心咬不動的問題。個案說,又能用牙齒咀嚼食物的感覺真的很好。完成療程的朋友們,都非常滿意All-On-6全口重建為生活帶來的改變。
在後續訪談中,個案說起第一次進入雅偲牙醫諮詢的情形...「剛踏入雅偲,諮詢師與助理們真的都非常親切,和之前去過的牙醫診所感覺都不一樣,除了本身環境優美、氣氛雅緻外,每一個診間都是獨立空間,在這裡,我可以安心地跟諮詢師討論我的牙齒情況,不必擔心隱私問題,也因為雅偲是比照醫學中心等級,無論是診間、設備、醫師、助理...都給我極大的舒適和安心感,我真的很幸運找到鄭醫師的幫助,並解決我長期的牙齒問題,這可以說是我最滿意的牙齒改造。」
All-On-6一日重建術後的生活,個案可以盡情展現自信笑容,輕鬆享受美食,不再有咀嚼困難。鄭醫師表示「讓醫師能夠繼續努力不懈的動力,相信就是看見患者有好的改變,並同時謹守幫助患者想要變得更好、更有自信的初衷。」
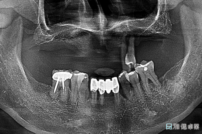
術前環口X光片,上顎只剩下2顆牙齒,下顎也有牙周、排列、咬合等問題
治療過程中的環口X光片
最終完成的環口X光片

原始診斷模型
數位軟體設計假牙基座
臨時假牙模型上顎
臨時假牙模型下顎
當日即可完成All on 6臨時假牙
All on 6植牙當天可立即裝戴臨時假牙
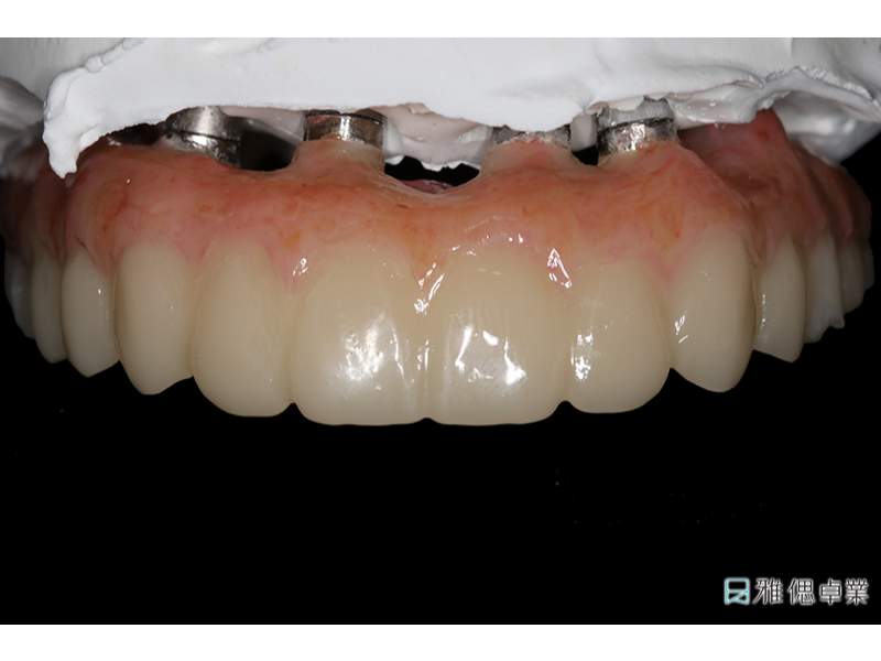
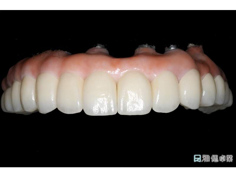
精密設計基座上的正式假牙
基座上每顆正式假牙皆是單獨的,方便清潔與維修
口內取定位模型
全口假牙模型,模擬自然牙支台齒
假牙模型上顎
假牙模型下顎
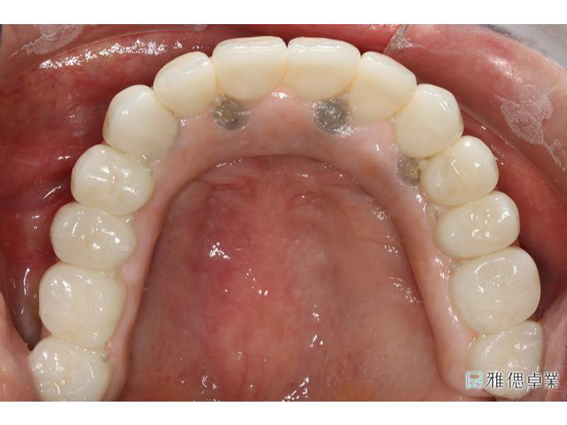
All on 6正式假牙(上顎)
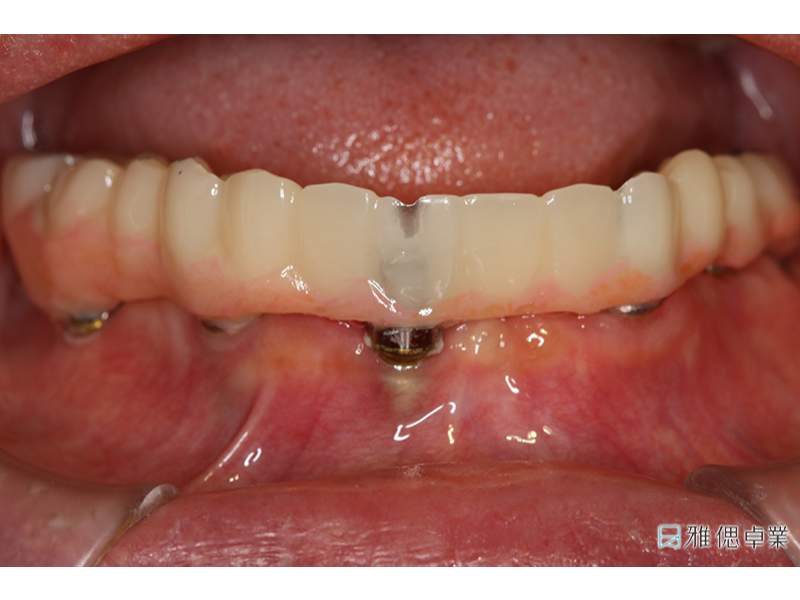
All on 6正式假牙(下顎)
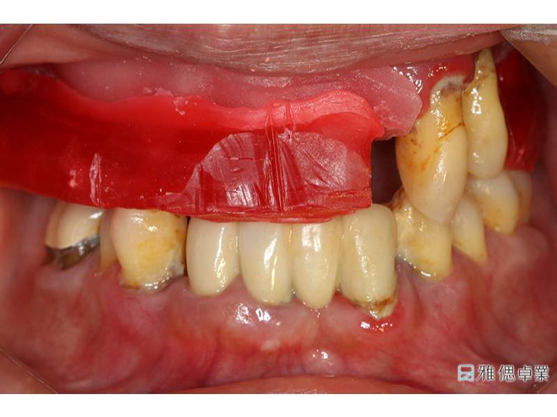
術前
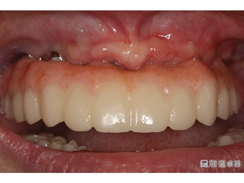
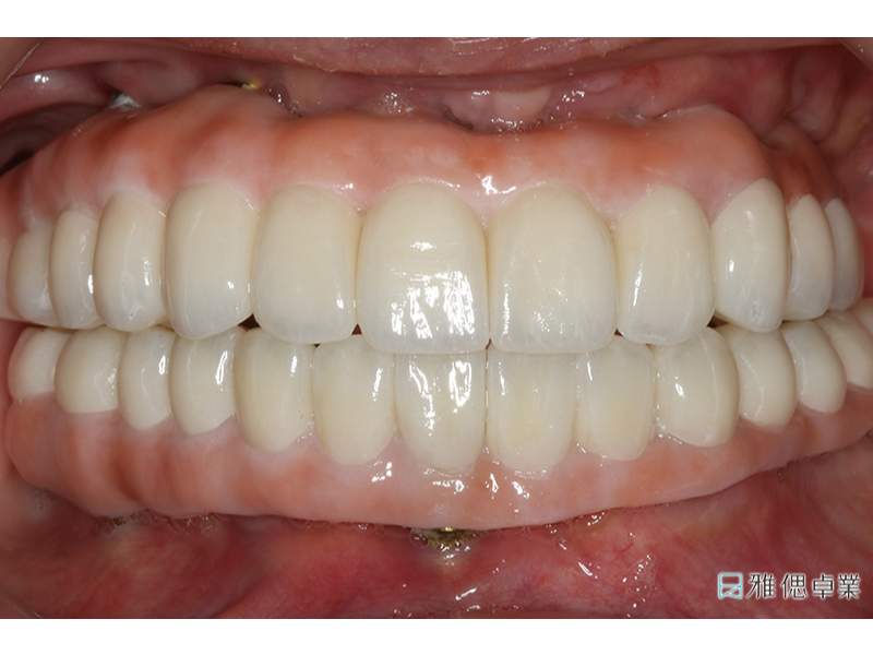
術後
術前
術後
術前
術後
術前
術後
術前