蔡昀蓉
.jpg)
服務項目
- 美容牙科專科
- 全瓷冠
- 貼片
- 牙齒美白
- 隱形矯正
- 全口微笑美學設計
學經歷
- 國立臺灣大學臨床牙醫研究所碩士(牙體復型美容牙科組)
- 臺大醫院牙體復形美容牙科專科訓練醫師
- 中華民國牙體復形學會專科醫師
- 隱適美白金級醫師
- 臺大醫院牙科部兼任主治醫師
- 臺大醫院全方位美容牙科治療program
- 美國哈佛大學植牙專科研究
- 牙體復形學會100年專科臨床病例競賽亞軍2011年IADR(International Association of Dental Research)
- 全球牙醫研究學會論文發表
- 中華民國審美牙醫學會會員
專長
- 全口微笑美學設計
- 陶瓷貼片
- 全瓷牙冠
- 牙齒美白
- 隱適美Invisalign/隱形矯正
- 3D齒雕(陶瓷嵌體覆體)
- 美觀樹脂填補
- 金屬嵌體或覆體復形治療
- 植體美容治療
醫師介紹
蔡昀蓉醫師專長為牙科中的美容牙科,在這個專業領域十分自我要求,具有牙齒美學的藝術眼光,要求牙科美學治療的精緻與完善,依據患者的臉型、周圍齒色、牙齒排列、咬合狀態、笑容弧度,設計出客製化牙科美學治療計畫,並且能感同身受患者對美觀之要求,給予最合適的建議。
依照豐富經驗以牙齒美白 (冷光美白 / 居家美白)、全瓷貼片、全瓷牙冠、隱適美矯正等技術綜合之整體全方位美容牙科治療,透過蔡醫師與診所內部牙技師精準規劃、精湛技術、嚴苛工藝中完美打造全瓷貼片、全瓷牙冠,呈現出光亮晶透的細膩質感,色澤、層次、透亮幾近真牙,替您把關設計專屬個人的微笑曲線以及充滿自信的亮白美齒。蔡昀蓉醫師堅持用自己的高標準檢視美容牙科療程,包括牙齒咬合、對稱、密合度、協調性…等考量許多細節,不僅外觀的美感與自然,也注重治療成果與口腔健康,在美觀需求與牙齒健康達成平衡共存。
個人榮耀及發表文獻
- 臺大醫院全方位美容牙科治療program
- 牙體復形學會100年專科臨床病例競賽亞軍2011年IADR(International Association of Dental Research)
- 榮獲國際隱適美矯正頒發”白金級”矯正醫師
專欄文章
牙齒美容
疫情解封正逢畢業求職潮 打理門面牙科整牙、美白夯
疫情解封後,路上戴口罩的人也逐漸減少,加上緊接著的畢業季,許多畢業生開始準備找工作面試。牙醫師表示近期就診的患者,大多是為了整理門面,除了面試時能給公司好印象外,在面相學上,牙齒也能看出性格及運氣,也有不少人求好運,到牙科診所進行整牙、美白。(NOW健康 黃大千/台北報導 2020-07-15)
傳統面相學認為齒列狀況會影響運勢,暴牙、齒縫明顯、牙齒黑黃等齒相不佳者,財運方面可能較為不理想。然而,就醫學的角度來說,除了美觀之外,齒列對於咀嚼、口腔健康等的影響更為重要。
疫情後少了口罩的庇護,牙齒美容的需求明顯增加,而部分民眾為了省錢,購買現成的牙齒美白產品。牙醫師蔡昀蓉說明,市面上玲瑯滿目的美白橡皮擦、美白貼片各有功效,但使用不當還是會傷害牙齒。美白橡皮擦、美白牙膏等,屬於物理性美白,過度使用可能會磨耗過大,導致琺瑯質易受損,讓牙齒變得比較敏感;美白凝膠、冷光美白機等,屬於化學性美白,藉由藥劑氧化還原代謝掉裡面的色素,如在自行使用時濃度不夠,美白效果較不顯著,貼合度不夠恐會腐蝕牙肉、牙齦受損。故建議還是找尋專業醫師,評估自身狀況才能健康不過度傷害的打造亮白牙齒。
也有些民眾有牙齒太小顆、牙縫較大或牙齒較黃等問題,會選擇做瓷牙貼片來改善。瓷牙貼片薄度僅0.3mm至0.7mm,大小與形狀會經醫師針對患者量身打造,緊密貼於牙齒表面,可調整牙齒的型態、比例及顏色,能同時改善牙齒整齊及美白的效果。蔡昀蓉提醒,雖然陶瓷貼片本身不會有蛀牙的問題,但在貼片內仍是牙齒本體,牙周也與真牙狀況相同,還是需要每天刷牙、使用牙線來維持口腔清潔,建議可定期至診所檢查牙齒狀況及洗牙,才能保持牙齒健康及美觀。
除了常見的牙齒美白外,許多患者因為假牙邊開始出現黑邊,有些黑色甚至會越來越明顯,因而前來就診。蔡昀蓉解釋,假牙牙冠邊與內部還是原來牙齒的構造,若未進行過根管治療,一旦蛀牙還是有可能會變黑甚至產生疼痛。
另外,牙肉萎縮也會讓牙冠內部的金屬牙材露出也會出現黑邊,另1個常見的原因就是牙材的金屬游離,包括全金屬、金屬燒瓷牙冠或是固定牙齒的牙釘,只要牙冠、牙釘是金屬材質,就有可能產生游離造成牙冠邊緣染色,因此許多患者會選擇更換全瓷冠,來改善牙齒黑邊的問題。
蔡昀蓉指出,產生金屬游離的主因為牙材成分,像是鎳、鉻等,這種屬於基本金屬材質會較快產生游離,至於貴金屬或半貴金屬較穩定,發生游離的時間比較慢。但金屬類的牙冠會因為口中溫度及濕度的變化氧化或腐蝕,而導致假牙邊發黑。
找出牙冠變黑的原因後,如果有蛀牙或是牙周病的問題,就一定要先處理掉,讓牙齒健康恢復之後,才能讓新的牙冠更為穩固。蔡昀蓉強調,全瓷冠牙套較為自然且堅固度較佳,但過程中需要醫師、牙技師、病患之間更緊密的合作。不論選擇那種牙冠,重點還是病患本身要養成正確潔牙習慣並定期追蹤,才能常保美齒健康。
無論是哪種牙齒美容,都應諮詢合格且專業的醫師,可提供自己的目標及預算,透過溝通找出適合自己的治療方式,避免做完牙齒美容後,卻還需要花更多錢去處理後遺症,得不償失。
牙齒矯正
亂牙阻礙人際關係 隱形牙套逆轉勝
今年18歲的翁姓少女是大一新鮮人,自入學以來參與許多系上活動,讓她交到不少新朋友,但難為情的是,自己凌亂不堪的牙齒常遭旁人異樣的眼光,不僅給人留下刻板的第一印象,甚至還因此被戲謔的亂取綽號,造成她的尷尬與困擾。由於本身就讀的科系與未來就業的發展都需要與人接觸、合作,為了長遠考量,重新打理門面有其必要,於是決定接受牙齒矯正,告別一口亂牙。(2019-02-26 NOW健康 林雁茹/台北報導)
收治翁小姐的牙醫師蔡昀蓉表示,牙齒排列凌亂不整齊、牙齒外翻造成的暴牙等都可以透過齒列矯正加以改善。在齒列矯正的方式上,過去傳統的牙齒矯正是採用金屬材質矯正器,直接黏著固定在牙齒上,放上矯正線,並用橡皮筋將牙齒一顆顆綁好的方式來進行矯正治療。
然而由於傳統固定式矯正的矯正器和鋼線清晰可見,對部分患者來說有影響美觀的考量;另一方面在口中的矯正器及金屬矯正線,也容易磨擦口腔黏膜造成不適的困擾;也較需要較為密集的回診,經由調整金屬矯正線來進行新的矯正進度。再加上清潔方面,傳統固定式矯正由於齒縫間有矯正線,清潔不易,常導致蛀牙或牙周牙齦發炎的問題。以上種種,都是常見造成民眾對於傳統固定式矯正打退堂鼓的原因。
近年來牙科醫療不斷進步,隱形矯正風潮也吹向台灣,有別於傳統矯正,隱形矯正的優點包括:(一)美觀:隱形牙套是透明材質,不影響外在的美觀。(二)舒適:隱形牙套表面光滑,不會刮傷口腔黏膜及臉頰、嘴唇等,舒適度大幅提升。(三)清潔:隱形牙套是隨時可拆下,方便使用牙刷、牙線等清潔工具,能做好牙齒矯正期間的徹底清潔。
蔡昀蓉補充說明,使用隱形牙套的好處是不需要改變原本的生活型態,如一些特殊場合、吃美食、劇烈運動皆可和平常一樣進行。不僅可由患者自行戴上及取下,不需固定在牙齒上,也沒有飲食上的限制,療程期間仍可正常地清潔牙齒、使用牙線,降低蛀牙與牙周病的風險。
蔡昀蓉強調,隱形矯正雖不影響生活及清潔保養,但牙套每天需至少配戴22小時以上,才能達到最好的治療效果。由於每個人的牙齒狀況不一,建議想選擇此種矯正方式的患者,應先找專業的隱形矯正醫師進行諮詢,評估口腔狀況是否合適,同時訂做專屬的療程計畫,才能有效改善牙齒問題,重拾美麗笑容。
牙齒美容
美齒貼片擺脫黃板牙 為新人守護幸福記憶
「唉呀!我的牙齒好黃喔!」婚紗店裡,一對新人正在檢視前陣子拍的婚紗照,但準新娘卻因黃板牙而越看臉越臭,一方面不斷地要求業者修片,另一方面盤算著想趕在婚禮前做牙齒美白貼片,希望當天能白晰亮相。牙醫師提醒,美齒貼片屬於專業療程,民眾急著美白同時也別忘了謹慎評估。(2018-10-25 NOW健康 林雁茹/台北報導)
結婚是人生大事,每位新人都希望婚禮當天可以展現完美的笑容。然而,許多新郎和新娘可能因為天生齒色偏黃,或者因為後天常喝咖啡或濃茶、常吃醬油類食物及咖哩、有抽菸習慣,甚至使用四環黴素藥物等因素,導致牙齒變色發黃,咧嘴一笑就覺得尷尬,更怕自己的黃牙醜態永遠存在親友的腦海和記憶中。
不想讓一生一次的幸福回憶被黃板牙毀掉,靠美齒貼片美化門面是目前正夯的方法之一。牙醫師蔡昀蓉說明,正規的美齒貼片是在真牙表面黏上一層人工製成的陶瓷貼片,這種貼片除了可以調整齒色,個人化選擇適合自己的白皙程度,還可以改善輕微齒列不整、齒縫過大和牙齒形狀不漂亮等問題。
特別的是,隨著醫療科技不斷進步,目前陶瓷貼片已發展出各種不同顏色透度的材質,黏貼在牙齒上不只有美白效果,還能達到類似自然牙的透明度和色澤,讓笑容更自然。至於過去黏貼片需磨掉部分牙面牙釉質的疑慮,目前也因為出現薄度僅0.3mm的瓷牙貼片可供選擇,大幅減少損傷齒面的機會。
雖然陶瓷貼片美白牙齒的效果自然又長久,但蔡昀蓉提醒,貼片從製作到執行都屬於專業療程,提醒民眾不要病急亂投醫、貪小便宜,以免聽信不實的推銷式說法,市面上有些掛名免磨牙貼片、鑽石、美白牙雕等療程,其實是用樹脂類的材質進行包覆所形成的假性美白,經常有型態塑形不佳、做完變成暴牙、無法清潔齒縫,造成日後蛀牙及牙周病等問題,由非專業醫療人員施作除了有傷牙風險,更有違法疑慮,最後可能賠了夫人(錢)又折兵(牙齒健康)。
民眾在施做前務必尋求專業牙醫師的謹慎評估,排除嚴重的牙周病,並且確認是否仍有蛀牙未處理、蛀牙缺損範圍過大等問題,再依據個人口腔狀況選擇適當療程,才能讓牙齒美白達到預期的效果。
值得注意的是,在完成美齒貼片療程後也要隨時注意保養與清潔,就像對待自己的真牙一樣,養成餐後和睡前刷牙和使用牙線的習慣;避免啃咬螃蟹、甘蔗和瓜子等質地較硬的食物,以免造成牙齒損傷;每半年到診所洗牙、檢查牙齒和牙周狀況,如此才能常保牙齒的美觀和健康,同時維持美齒貼片的使用壽命。
牙齒美容
貼片美容找回微笑曲線 慎選醫師勿信坊間牙雕
每個人都希望自己笑起來,露出一口漂亮的牙齒,明眸皓齒是每個女孩追求的境界。但即使每天早晚都勤奮刷牙,也使用標榜美白成分的牙膏,還是沒辦法讓黃板牙變白皙,因此有越來越多人尋求牙齒美白療程,美化自己的門面,希望能告別一口黃牙。坊間有許多美甲店、醫美診所推出美白相關療程,但並非由正規的牙醫師施作,民眾可要當心!(2018-06-28 NOW健康 林雁茹/台北報導)
一名網拍模特兒於臉書控訴,年初到醫美診所做「美白牙雕」,手術結束後,竟換來一口爛牙,大嘆花了12萬卻是這樣的結果。她指出該診所做的療程,只用樹脂之類的材質包覆牙齒形成假性美白,手術結束後,原本齒列整齊的她,竟出現暴牙狀況。由於牙齒被樹脂材料包覆,導致無法清潔,容易殘留髒東西與牙垢;回原施作處拆除時,又因沒有使用適當、專業的器械,以致破壞原有的琺瑯質,牙齒齒質受損、形狀改變,牙齒也變得相當敏感。建議患者若有遇到施作不理想的情形,應儘速尋求正規牙醫師處理後續,還有機會再讓牙齒恢復原來狀況,不要再讓原本不合格的密醫處理自己的牙齒,以免牙齒受損造成更多不可逆的傷害。
牙醫師蔡昀蓉表示,想要維持牙齒永久亮白,並非不可能。目前有隱形美齒貼片可供選擇,施作方法是在牙齒貼上一層超薄人工珐瑯質,薄度僅0.3mm至0.7mm。此外,因其硬度性質與琺瑯質相似,可以避免樹脂材料填補蛀牙,以及因喝茶、咖啡、紅酒染色的情況,除了可改善牙齒顏色,亦可美化齒列並矯正牙齒些微歪斜、缺角或形狀不漂亮。
蔡昀蓉也指出,想要微笑時露出一口潔白整齊的牙齒,改變外界對自己的好感度,必須慎選正規合法、專業的牙醫師,並留意是否有牙醫師執照及證書保障。最重要的是事前謹慎評估。口腔保健是一輩子的事情,若是選錯療程、聽信不實說法,可能花了高額的費用,卻得不到想要的結果;若造成齒質損害,導致不可逆的傷害,更是賠了夫人又折兵,相當划不來。
最後,蔡昀蓉提醒,施作美齒貼片術前應充分溝通,挑選出最適合自己的牙齒色澤。而術後的保養方式,就像對待自己的真牙一樣,須避免啃咬甲殼類、甘蔗、瓜子等硬物,以免造成牙齒損傷;術後要勤勞維持口腔清潔,每天刷牙、使用牙線,並定期至診所洗牙、檢查牙齒狀況,才能常保牙齒美觀、健康,並維持美齒貼片使用壽命。
牙齒矯正
美齒有如第二張臉 亂牙清潔不易齲齒叢生
想像一張美麗的臉蛋,開口卻是凌亂不堪的牙齒,會是多麼反差的畫面,因此常有人將美齒比喻為第二張臉。在牙科中,「咬合不正」不儘會影響外在的美觀,對健康的危害也不容小覷,像是清潔困難導致蛀牙或牙周病,也可能因咬合不正而咬破嘴巴造成口腔潰瘍等。此外,咬合不正以致牙齒密合度降低,而造成咀嚼不完全,進而增加胃腸消化的負擔。(2018-02-09 NOW健康 林雁茹/台北報導)
牙醫師蔡昀蓉表示,門診就有多位患者因齒列不正導致清潔不易,每次洗牙就會發現蛀牙而感到困擾不已。為了改善咬合不正,有些人選擇戴傳統鋼牙矯正器,但是傳統矯正器除了鋼線易刮傷口腔黏膜、飲食後不易清潔等,最惱人的是,患者深怕露出鋼牙而不敢開懷大笑。隨著牙科醫材的進步,矯正牙齒不再只有一種選擇,現在透過數位隱形牙套能免除上述煩惱,輕鬆且悄悄擁有一口整齊美齒,成為許多患者的首選。
蔡昀蓉說明,數位隱形矯正是透過一系列透明、舒適且可取下的「數位隱形牙套」把牙齒導回正確且恰當的位置,運用高科技3D電腦技術及先進的生產流程,結合醫師專業的診斷治療,並利用電腦軟體模擬療程中牙齒移動情形,為患者量身訂作適合個人需求的「數位隱形牙套」。
有別於傳統矯正,隱形矯正是透過大數據運算去設計齒列的移動模式,將全部牙套一次備齊,由患者每2周自行更換(依照醫師指示時間為主),不像一般傳統矯正大概3到4周就要回診調整,否則矯正進度會停滯不前。
此外,由於隱形牙套的矯正過程經過電腦精密計算,因此不論患者是牙齒太擠、太疏或從前矯正過的牙齒移位,透過隱形牙套皆可有效控制每顆牙齒的矯正力度及時間,只要每2到3周更換一副新的牙套,按部就班即可完成齒列矯正,無須頻繁回診。
牙醫師張玲瑜補充,有別於傳統的金屬牙套,數位隱形牙套除了美觀外,還有諸多優點,像是牙套材質採無色醫療級塑膠,完全沒有金屬過敏或重金屬殘留問題,療程中透過數位軟體模擬分析、製作出多副漸進式調整齒列的牙套,且進食前可取下,方便進食後清潔牙齒,不會因矯正器黏著於牙齒表面而增加口腔清潔難度,因此不會提高齲齒發生率。
隱形牙套可輕鬆穿脫,不需固定在牙齒上,因此可降低口腔的不適感,也沒有飲食上的限制,療程期間仍可正常地清潔牙齒、使用牙線,降低蛀牙與牙周病的風險。雖然數位隱形矯正牙套有許多優點,但牙醫師也提醒,矯正成功的關鍵,還是在於患者是否遵從醫生指示,每天應至少配戴22小時,並定期更換新牙套,患者一定要遵照醫囑、確切執行計畫,牙齒才會循序漸進地達到矯正效果。
牙齒矯正
牙齒換新衣迎新年 貼片美白兼微整正夯
為了迎接新春的到來,近期有許多民眾趕在與親朋好友相聚之前,預約至牙醫診所整理門面。根據牙醫師表示,過年前要求做貼片或更換舊有假牙的患者多了近三成,且估計農曆年節過後仍有部分患者,會利用收到的紅包或年終獎金美化自己門面,「瓷牙貼片/全瓷冠是目前正夯的療程之一。」(2017-01-20 NOW健康 李藍茵/台北報導)
雅偲牙醫診所蔡昀蓉醫師表示,瓷牙貼片不僅能改變牙齒的顏色,還能改變不滿意的牙齒形狀和輕微的齒列不整。比如有些人的牙縫較大、牙齒形狀太小顆比例不佳,或是先天齒色較黃較灰等,笑起來不夠美觀,都可透過瓷牙貼片達到微整效果。但醫師強調:「若是較嚴重的齒列不整或錯咬等情形,還是要先由醫師診斷進行矯正,後續再視患者需求以貼片改善美觀;若只是輕微的齒列不整齊,則可用製作貼片微調。」
瓷牙貼片是利用極薄的客製化仿真牙瓷片,經醫師針對患者的牙齒狀況個別製備後,緊密黏貼於牙齒表面,治療步驟是將牙齒的表面做少量修磨後,再利用酸蝕黏合的技術,將薄度僅0.3mm至0.7mm的瓷牙貼片,以特殊高強度黏合劑,黏著在醫師製備過的牙齒表面。因其硬度性質與琺瑯質類似,能夠避免複合樹脂填補蛀牙染色的情況,並可調整牙齒的形態、比例及顏色等,達到牙齒整齊和美白的效果。
此外,由於瓷牙貼片也有各種不同顏色透度的材質可以選擇,若由專業講究美學的醫師搭配優秀的技師製作,黏貼在牙齒後仍能達到仿自然牙的透明度以及色澤,是想要有一口迷人微笑的患者的好選擇。至於材質相似,但包覆範圍較大的全瓷冠則可應用在舊假牙的汰舊換新。
蔡昀蓉醫師指出,做貼片的患者中,常見因想永久美白改變牙齒顏色,希望藉由貼片改善牙齒生成時發生四環黴素染色的症狀;也有些患者是對於先天牙齒形狀不滿意,有特殊的訴求,如先天牙齒太小顆、有牙縫、牙齒太平,想追求微笑曲線,或者門牙微凸不喜歡,想追求平整的齒列等,這些訴求都能透過與醫師溝通,為患者客製化達到喜歡的效果。
至於做完貼片後的牙齒保養方式,蔡昀蓉醫師建議,不論是瓷牙貼片或是全瓷冠,材質的磨耗和硬度與一般牙齒琺瑯質相近,只要處理得好,幾乎就等於是自己的牙齒。保養方式就像對待自己的真牙一樣,仍然要避免啃咬像螃蟹、甲殼類、甘蔗等硬物,以免造成牙齒斷裂。
蔡昀蓉醫師強調,雖然陶瓷貼片是人工的材質,本身並不會有蛀牙的問題,但是被包覆在裡面的支台齒(自己真牙的部份),還是有蛀牙的可能;牙周狀況也與真牙相同,也是需要良好的口腔清潔才能避免牙周病的產生。所以,除了每天刷牙、使用牙線,還要定期至診所洗牙、檢查牙齒狀況,才能常保牙齒的美觀、健康。
牙齒美容
牙齒美白客製化 量身打造吸睛皓齒
宋仲基、李英愛等韓流巨星笑容燦爛,秘密在於牙齒亮白。想要牙齒亮白並非難事,目前有噴砂美白、藥劑式美白,以及陶瓷貼片、全瓷冠等牙齒美白方式,只要經牙醫師評估,按照個人牙齒染色原因,選擇適當的方式,就能擁有吸睛的亮白牙齒。(2016-08-26 NOW健康 楊欣菲/台北報導)
噴砂美白除了能清除污垢,還能處理一般人清潔不到的牙縫。只要牙齒乾淨,看起來就較亮白,不過噴砂美白只能清除污垢,無法改變牙齒原本色階,難以改變牙齒的底色。雅偲牙醫診所蔡昀蓉醫師表示,噴砂美白屬於物理性美白,主要是針對喝茶、喝咖啡、抽菸、吃中藥後留在牙齒上,無法透過刷牙來清除乾淨的污垢。
藥劑式美白則是化學性美白,分為冷光美白和居家美白,原理是運用氧化還原,讓藥劑經由牙本質小管進入牙齒內部,分解沉積在牙齒深層的色素,進而使牙齒色階變白,是相當常見的牙齒美白方式。一般建議與噴砂美白搭配使用,才能將牙齒表面的汙垢以及深層色素清除乾淨。通常藥劑式美白能使牙齒變白程度大約6到8個色階,但美白程度因人而異,無法指定色階,每個人最白的色階仍有一定的底限。
「牙齒原本有其天然的漸層顏色」蔡昀蓉醫師補充,因牙齒結構的關係,最外層的琺瑯質顏色偏白,中間牙本質顏色偏黃,裡層則是牙齒的神經腔。琺瑯質在靠近牙齒咬合面的尖端最厚,越往齒頸部,也就是靠近牙肉牙齦,琺瑯質會越薄,因而產生牙齒顏色漸層。
臨床觀察,四環黴素所導致的牙齒黃黑問題最難解決。尤其在牙齒胚胎生成的時期,最容易受到四環黴素藥物的影響而使牙齒變色,此種情況下美白只能達到淡化的效果,無法徹底根除。這類染色問題嚴重的患者者,建議採用陶瓷貼片或全瓷冠。蔡昀蓉醫師解釋,貼片可解決大部分牙齒染色情況,原理類似指甲貼上甲片,表面一層是人工陶瓷貼片,裡面還是自己牙齒。陶瓷貼片是人工製成,所以想要牙齒多白就可以多白。許多明星藝人牙齒光亮照人,就是使用陶瓷貼片。
陶瓷貼片除可調整齒色,還可改善輕微牙齒排列不整齊、牙縫過大以及牙齒型態不佳等問題。貼片會永久黏在牙齒上,如保養得當,可長期使用,且貼片表面光滑,沒有牙齒表面的孔洞,不會讓色素滲入,牙齒美白的效果可以長久維持。相較之下,噴砂美白或是藥劑式美白後,若吃染色食物,牙齒美白效果就會消失。
全瓷冠材質跟貼片基本上為同一系統,差異在於包覆牙齒的程度與範圍。針對磨牙嚴重,不適合做貼片的病人,建議採用全瓷冠。病人安裝之前,須經牙醫師評估咬合情況,包括是否抽過牙神經、牙齒結構是否強壯等原因。若蛀牙缺損範圍較小,陶瓷貼片可以恢復形狀;若缺損範圍太大,則需要套上整顆全瓷冠,加強結構,讓牙齒亮白穩固。
牙齒矯正
整牙不受限 數位隱形矯正出國戴著走
現今海外打工度假夯,練外語又增加生活體驗,許多大學畢業生選擇把職場卡位放一邊,將海外打工度假當做出社會第一志願。但這對正在進行牙齒矯正的社會新鮮人來說,恐怕是魚與熊掌不能兼得。(2016-05-19 NOW健康 楊欣菲/台北報導)
由於傳統整牙以金屬矯正線「借力使力」來改變牙齒排列,所以必須頻頻回診讓醫師進行調整,一旦未按時間回診,整牙進度就會因此亂了套。然而,數位隱形矯正整牙計畫則是具體可見,定期自行更換牙套,等於醫師親手調整,即使病人出國留學或外派工作,一樣可以輕鬆矯正牙齒。
雅偲牙醫診所蔡昀蓉醫師指出,數位牙齒矯正不只是普通的透明「隱形牙套」,它是利用高科技的3D電腦技術及先進的生產流程,為患者量身訂作適合個人需求的牙套。其材質採用的是無色醫療級塑膠,外表幾乎透明,病人戴上後不易被發現。如同為牙齒進行微整形調整,可以安心的悄悄變美。此外,隱形牙套還有一項優勢,就是整個矯正過程是經過電腦精密計算,利用隱形牙套有效控制每顆牙齒的矯正力度及時間,隨著不斷更換牙套,按部就班即可完成齒列的矯正。
數位隱形矯正成功與否,主要就靠患者有沒有遵從醫生指示,每天配戴22小時,定期更換新牙套,只要患者切實執行,牙齒就會越變越整齊。蔡昀蓉醫師說明,數位隱形矯正與傳統矯正最大的不同在於,一般傳統矯正大概3到4周就要回診調整,否則矯正進度就會停滯不前。數位隱形矯正是將全部牙套一次備齊,由患者每2周自行更換(依照醫師指示時間為主),依治療計畫至少回診2至3次,牙齒排列就會按照矯正計畫調整。
傳統矯正使用金屬矯正線,可能遭遇脫落等突發狀況,若病人身在海外,往往在當地找不到醫師幫忙處理,數位隱形矯正就不會有這些狀況發生。蔡昀蓉醫師提到,門診確實有很多長居海外工作留學的患者,選擇數位隱形矯正,原因不只是美觀,主要是它確實很方便。整牙過程中牙齒排列會有什麼變化,在整牙前做規劃時,患者都可透過3D模擬具體看見,這等於讓患者服下定心丸,對整牙計畫信心大增。
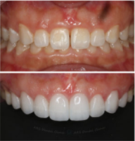
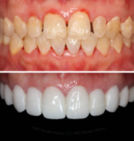
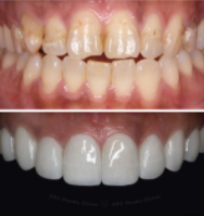
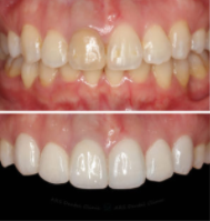
實際案例



