牙脊曾寬術

案例一
術前
術中
術後
 
案例二
術前
術中
術後
案例三
術前
術中
術後
案例四
術前
術中
術後
案例五
術前
術中
術後

鼻竇增高術-全口X光攝影

案例一
術前
術中
術後
 


 

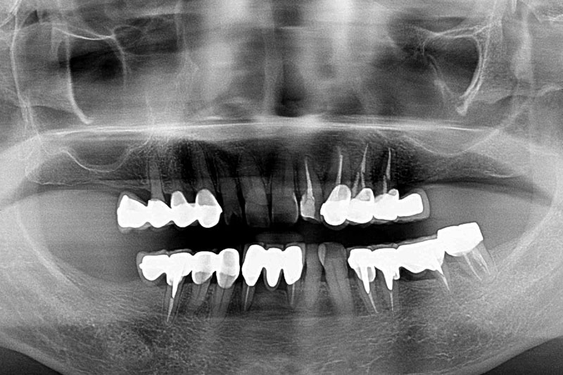
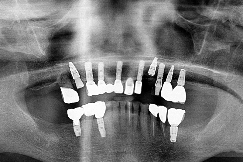
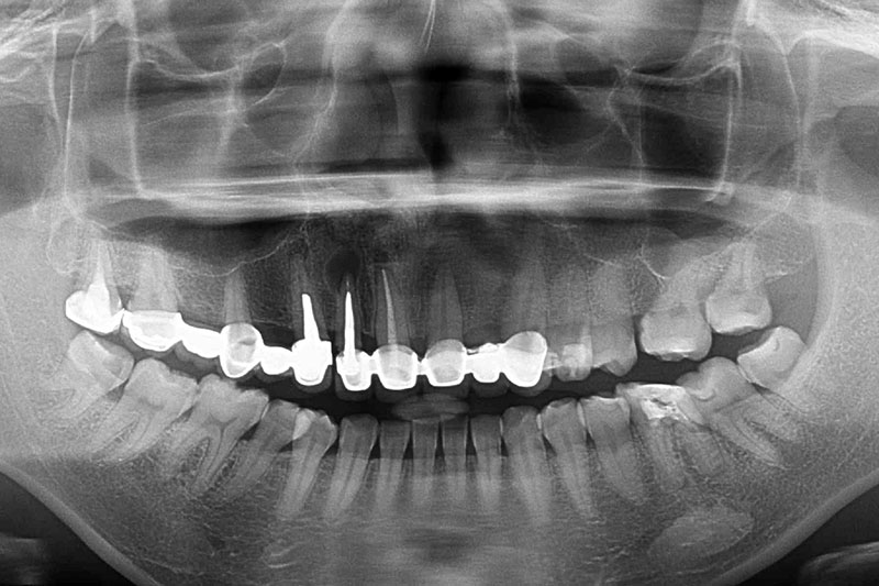
缺牙多顆-全口X光攝影

案例一
術前
術後
 
案例二
術前
術後
 
案例三
術前
術後

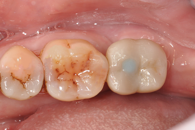
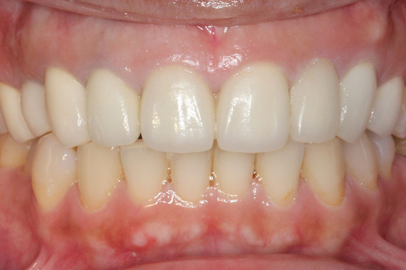
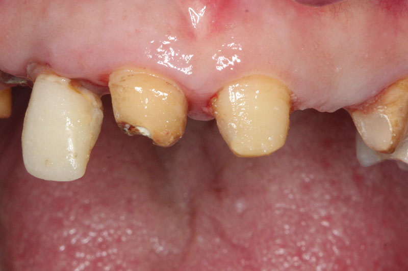
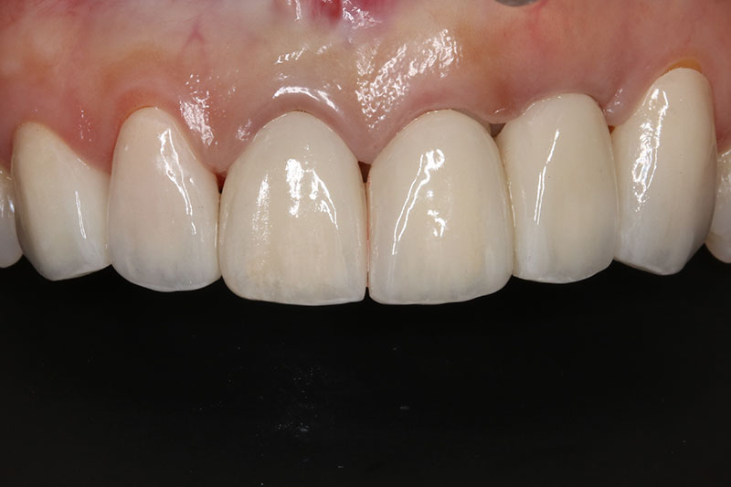
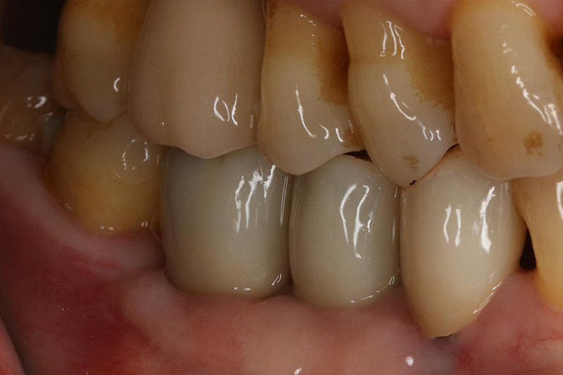
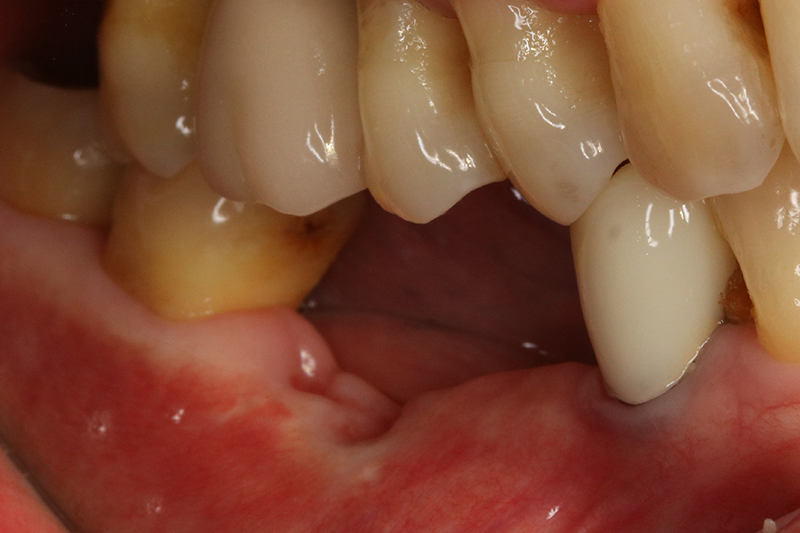
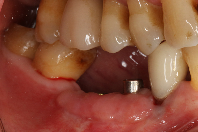
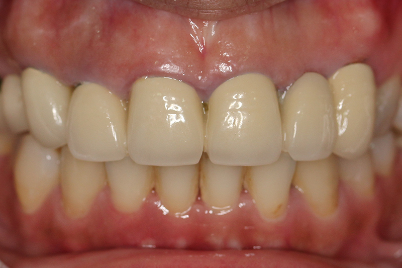
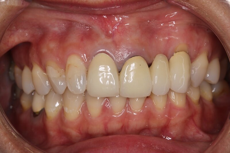
缺牙多顆

案例一
術前
術中
術後
 
案例二
術前
術中
術後
 
案例三
 
術前
 
術中
 
術後
 
案例四
術前
術中
術後

您知道嗎?

中重度牙周患者沒做治療,平均每人每年會喪失0.61顆牙齒,超過接受治療並定期追蹤者十倍以上。據研究報告定期照護的患者僅不到3%有局部牙周病復發。

立即預約