中文(繁體)
中文(繁體)
Toggle navigation
關於卓品牙醫集團
診療項目
牙周病
水雷射
人工植牙
全口植牙
舒眠植牙
植牙合併骨脊重建
全瓷冠貼片
醫師團隊
門診時間表
聯絡我們
媒體曝光
媒體曝光
名人見證
案例分享
植牙手術Q&A
缺牙3~6個月
首頁
案例分享
缺牙3~6個月
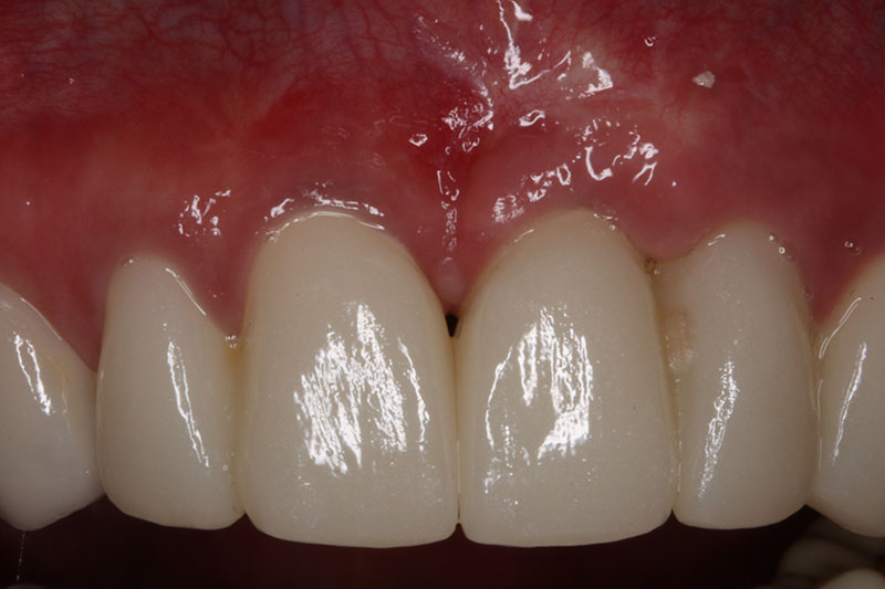
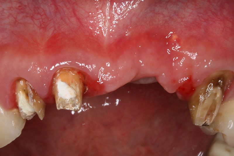
案例一
術前
術中
術後
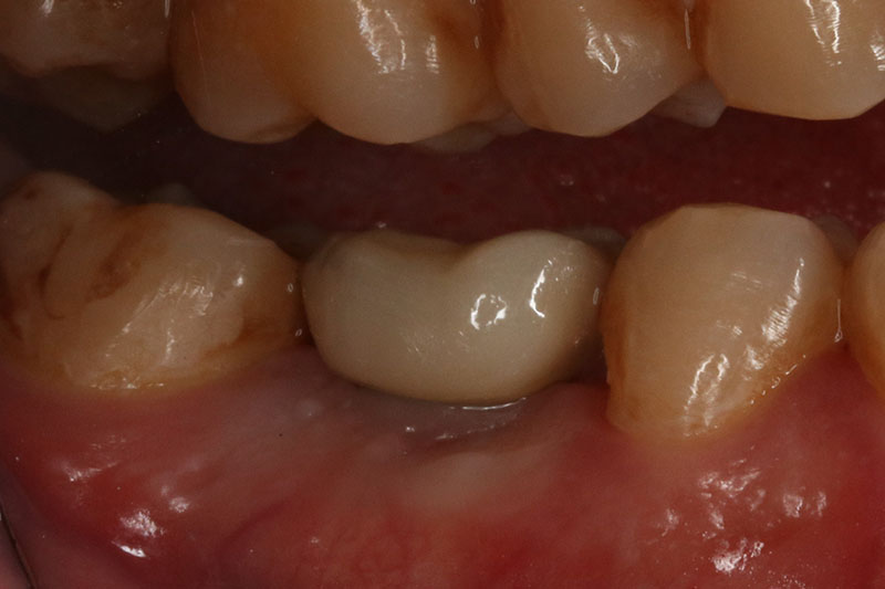
案例二
術前
術中
術後
立即預約
立即預約
您知道嗎?
中重度牙周患者沒做治療,平均每人每年會喪失0.61顆牙齒,超過接受治療並定期追蹤者十倍以上。據研究報告定期照護的患者僅不到3%有局部牙周病復發。
立即預約